
Merck Anti-SLC10A7 antibody produced in rabbit
Atlas Antibodies 기술 기반의 Prestige Antibodies® 제품으로, rabbit에서 생산된 Anti-SLC10A7 polyclonal 항체. 인간 SLC10A7 단백질에 반응하며, 면역조직화학(IHC)에 적합. −20°C에서 보관, 25 μL 소포장으로 제공.
✨AI 추천 연관 상품
AI가 분석한 이 상품과 연관된 추천 상품들을 확인해보세요
연관 상품을 찾고 있습니다...
Anti-SLC10A7 antibody produced in rabbit
제품 개요
Prestige Antibodies® Powered by Atlas Antibodies
Affinity isolated antibody, buffered aqueous glycerol solution
Anti-Solute carrier family 10 (sodium/bile acid cotransporter family), member 7
Also known as Anti-DKFZp566M114, Anti-DKFZp779O2438, Anti-C4orf13, Anti-DKFZp313H0531, Anti-MGC25043
생물학적 소스
rabbit
품질 등급
100 (M-Clarity Program)
결합 형태
unconjugated
항체 형태
affinity isolated antibody
항체 유형
primary antibodies
클론
polyclonal
제품 라인
Prestige Antibodies® Powered by Atlas Antibodies
형태
buffered aqueous glycerol solution
반응 종
human
포장 단위
antibody small pack of 25 μL
사용 기술
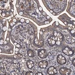
- Immunohistochemistry (IHC): 1:50–1:200
면역원 서열
LSITPINEWLLKGLQTVGCMPPPVSSAVILTKAVGGNEAAAIFNSAFGSFLVSKHSLTCLLQL
UniProt 수납 번호
배송 상태
wet ice
저장 온도
−20°C
유전자 정보
human SLC10A7 (84068)
Solute carrier family 10 (sodium/bile acid cotransporter family), member 7 recombinant protein epitope signature tag (PrEST)
제품 이미지
(이미지 없음)
🏷️Merck Sigma 상품 둘러보기
동일 브랜드의 다른 상품들을 확인해보세요

Merck Sigma
Merck Anti-SLC46A3 antibody produced in rabbit
895,700원

Merck Sigma
Merck Anti-ANKRD33 antibody produced in rabbit
895,700원

Merck Sigma
Merck Anti-SLC10A7 antibody produced in rabbit
895,700원

Merck Sigma
Merck Anti-ALKBH7 antibody produced in rabbit
370,530원

Merck Sigma
Merck Anti-RUFY2 antibody produced in rabbit
895,700원
배송/결제/교환/반품 안내
배송 정보
| 기본 배송비 |
| 교환/반품 배송비 |
|
|---|---|---|---|
| 착불 배송비 |
| ||
| 교환/반품 배송비 |
| ||
결제 및 환불 안내
| 결제수단 |
|
|---|---|
| 취소 |
|
| 반품 |
|
| 환급 |
|
교환 및 반품 접수
| 교환 및 반품 접수 기한 |
|
|---|---|
| 교환 및 반품 접수가 가능한 경우 |
|
| 교환 및 반품 접수가 불가능한 경우 |
|
교환 및 반품 신청
| 교환 절차 |
|
|---|---|
| 반품 절차 |
|