
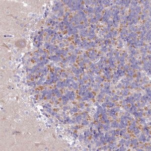
Merck Anti-VPS26B antibody produced in rabbit
상품 한눈에 보기
Merck의 Anti-VPS26B 항체는 rabbit에서 생산된 polyclonal primary antibody로, 인간 VPS26B 단백질에 특이적입니다. Prestige Antibodies® 라인 제품이며, 면역조직화학(IHC)에 적합하고 −20°C에서 보관됩니다.
브랜드: Merck Sigma
✨AI 추천 연관 상품
AI가 분석한 이 상품과 연관된 추천 상품들을 확인해보세요
연관 상품을 찾고 있습니다...
Anti-VPS26B antibody produced in rabbit
제품 개요
Prestige Antibodies® Powered by Atlas Antibodies
Affinity isolated antibody, buffered aqueous glycerol solution
Anti-MGC10485, Anti-Pep8b, Anti-Vacuolar protein sorting 26 homolog B (S. pombe)
생물학적 정보
- Biological source: Rabbit
- Antibody form: Affinity isolated antibody
- Product type: Primary antibodies
- Clone: Polyclonal
- Product line: Prestige Antibodies® Powered by Atlas Antibodies
- Form: Buffered aqueous glycerol solution
- Species reactivity: Human
- Packaging: Antibody small pack of 25 μL
실험 및 적용
- Technique(s): Immunohistochemistry (IHC): 1:50–1:200
특성 및 품질
| 항목 | 내용 |
|---|---|
| Quality Level | 100 |
| Conjugation | Unconjugated |
| Immunogen sequence | RRYFKQQEVVLWRKGDIVRKSMSHQAAIASQRFEGTTSLGEVRTPSQLSDNNCRQ |
| UniProt accession | Q4G0F5 |
| Shipping condition | Wet ice |
| Storage temperature | −20°C |
유전자 정보
Human VPS26B (112936)
Vacuolar protein sorting 26 homolog B (S. pombe) recombinant protein epitope signature tag (PrEST)
🏷️Merck Sigma 상품 둘러보기
동일 브랜드의 다른 상품들을 확인해보세요

Merck Sigma
Merck Anti-SEC24B antibody produced in rabbit
895,700원

Merck Sigma
Merck Anti-IQSEC1 antibody produced in rabbit
370,530원

Merck Sigma
Merck Anti-VPS26B antibody produced in rabbit
817,800원

Merck Sigma
Merck Anti-NPRL2 antibody produced in rabbit
895,700원

Merck Sigma
Merck Anti-C10orf67 antibody produced in rabbit
895,700원
배송/결제/교환/반품 안내
배송 정보
| 기본 배송비 |
| 교환/반품 배송비 |
|
|---|---|---|---|
| 착불 배송비 |
| ||
| 교환/반품 배송비 |
| ||
결제 및 환불 안내
| 결제수단 |
|
|---|---|
| 취소 |
|
| 반품 |
|
| 환급 |
|
교환 및 반품 접수
| 교환 및 반품 접수 기한 |
|
|---|---|
| 교환 및 반품 접수가 가능한 경우 |
|
| 교환 및 반품 접수가 불가능한 경우 |
|
교환 및 반품 신청
| 교환 절차 |
|
|---|---|
| 반품 절차 |
|
문의 0
로그인 후 문의를 할 수 있습니다.