
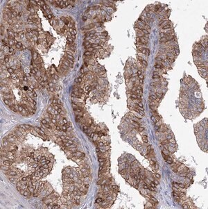
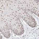
Merck Anti-NHLRC2 antibody produced in rabbit
상품 한눈에 보기
토끼에서 생산된 Anti-NHLRC2 항체로, Prestige Antibodies® 기술 기반의 고품질 친화 정제 항체입니다. NHL repeat containing 2 단백질 인식에 특화되어 있으며, buffered aqueous glycerol 용액 형태로 제공됩니다.
브랜드: Merck Sigma
✨AI 추천 연관 상품
AI가 분석한 이 상품과 연관된 추천 상품들을 확인해보세요
연관 상품을 찾고 있습니다...
Anti-NHLRC2 antibody produced in rabbit
제품 개요
Prestige Antibodies® Powered by Atlas Antibodies로 제작된 친화 정제 항체입니다.
Buffered aqueous glycerol solution 형태로 제공되며, NHL repeat containing 2 단백질을 인식합니다.
항체 정보
- Anti-FLJ20147
- Anti-FLJ25621
- Anti-FLJ33312
- Anti-DKFZp779F115
- Anti-NHL repeat containing 2
- Anti-MGC45492
특이성
NHL repeat containing 2 recombinant protein epitope signature tag (PrEST)에 특이적으로 반응합니다.
제품 사양
| 항목 | 내용 |
|---|---|
| 제품명 | Anti-NHLRC2 antibody produced in rabbit |
| 브랜드 | Prestige Antibodies® Powered by Atlas Antibodies |
| 공급업체 | Merck Sigma |
| 형태 | Buffered aqueous glycerol solution |
| 숙주 | Rabbit |
| 표적 단백질 | NHL repeat containing 2 (NHLRC2) |
🏷️Merck Sigma 상품 둘러보기
동일 브랜드의 다른 상품들을 확인해보세요

Merck Sigma
Merck Anti-FDXACB1 antibody produced in rabbit
370,530원

Merck Sigma
Merck Anti-THYN1 antibody produced in rabbit
895,700원

Merck Sigma
Merck Anti-NHLRC2 antibody produced in rabbit
370,530원

Merck Sigma
Merck Anti-MRPL42 antibody produced in rabbit
895,700원

Merck Sigma
Merck Anti-GPALPP1 antibody produced in rabbit
895,700원
배송/결제/교환/반품 안내
배송 정보
| 기본 배송비 |
| 교환/반품 배송비 |
|
|---|---|---|---|
| 착불 배송비 |
| ||
| 교환/반품 배송비 |
| ||
결제 및 환불 안내
| 결제수단 |
|
|---|---|
| 취소 |
|
| 반품 |
|
| 환급 |
|
교환 및 반품 접수
| 교환 및 반품 접수 기한 |
|
|---|---|
| 교환 및 반품 접수가 가능한 경우 |
|
| 교환 및 반품 접수가 불가능한 경우 |
|
교환 및 반품 신청
| 교환 절차 |
|
|---|---|
| 반품 절차 |
|
문의 0
로그인 후 문의를 할 수 있습니다.