
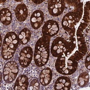
Merck Anti-DCTN5 antibody produced in rabbit
상품 한눈에 보기
토끼에서 생산된 Anti-DCTN5 항체로 Dynactin 5(p25) 단백질을 인식합니다. Prestige Antibodies® Powered by Atlas Antibodies 제품으로 높은 특이성과 재현성을 제공합니다. 연구용으로 사용되는 친화 정제 항체입니다.
브랜드: Merck Sigma
✨AI 추천 연관 상품
AI가 분석한 이 상품과 연관된 추천 상품들을 확인해보세요
연관 상품을 찾고 있습니다...
Anti-DCTN5 antibody produced in rabbit
제품 개요
Prestige Antibodies® Powered by Atlas Antibodies 시리즈의 친화 정제 항체로, Dynactin 5 (p25) 단백질을 표적으로 합니다. Buffered aqueous glycerol solution 형태로 제공됩니다.
항체 정보
- 타겟 단백질: Dynactin 5 (p25)
- 대체 명칭: Mgc3248, P25
- 항원: dynactin 5 (p25) recombinant protein epitope signature tag (PrEST)
- 동물종: Rabbit
- 정제 방법: Affinity isolation
- 형태: Buffered aqueous glycerol solution
스펙 요약
| 항목 | 내용 |
|---|---|
| 제품명 | Anti-DCTN5 antibody produced in rabbit |
| 브랜드 | Prestige Antibodies® Powered by Atlas Antibodies |
| 공급업체 | Merck Sigma |
| 타겟 단백질 | Dynactin 5 (p25) |
| 동물종 | Rabbit |
| 정제 방식 | Affinity isolated |
| 용액 형태 | Buffered aqueous glycerol solution |
| 대체 명칭 | Anti-Mgc3248, Anti-P25 |
🏷️Merck Sigma 상품 둘러보기
동일 브랜드의 다른 상품들을 확인해보세요

Merck Sigma
Merck Anti-CCL23 antibody produced in rabbit
895,700원

Merck Sigma
Merck Anti-C16orf96 antibody produced in rabbit
895,700원

Merck Sigma
Merck Anti-DCTN5 antibody produced in rabbit
895,700원

Merck Sigma
Merck Anti-RTTN antibody produced in rabbit
895,700원

Merck Sigma
Merck Anti-SSC5D antibody produced in rabbit
895,700원
배송/결제/교환/반품 안내
배송 정보
| 기본 배송비 |
| 교환/반품 배송비 |
|
|---|---|---|---|
| 착불 배송비 |
| ||
| 교환/반품 배송비 |
| ||
결제 및 환불 안내
| 결제수단 |
|
|---|---|
| 취소 |
|
| 반품 |
|
| 환급 |
|
교환 및 반품 접수
| 교환 및 반품 접수 기한 |
|
|---|---|
| 교환 및 반품 접수가 가능한 경우 |
|
| 교환 및 반품 접수가 불가능한 경우 |
|
교환 및 반품 신청
| 교환 절차 |
|
|---|---|
| 반품 절차 |
|
문의 0
로그인 후 문의를 할 수 있습니다.