
Merck Anti-SEC31B antibody produced in rabbit
✨AI 추천 연관 상품
AI가 분석한 이 상품과 연관된 추천 상품들을 확인해보세요
연관 상품을 찾고 있습니다...
Anti-SEC31B antibody produced in rabbit
Prestige Antibodies® Powered by Atlas Antibodies, affinity isolated antibody, buffered aqueous glycerol solution
Anti-Sec31l2, Anti-Sec31b-1, Anti-Dkfzp434m183, Anti-Sec31 homolog b (S. cerevisiae)
생물학적 소스
rabbit
Quality Level
결합
unconjugated
항체 형태
affinity isolated antibody
antibody product type
primary antibodies
클론
polyclonal
제품 라인
Prestige Antibodies® Powered by Atlas Antibodies
form
buffered aqueous glycerol solution
species reactivity
human
포장
antibody small pack of 25 μL
technique(s)
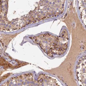
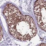
immunohistochemistry: 1:200- 1:500
면역원 서열
ATWLKSDVGLGESPQPKGNDLNSDRQQAFCSQASKHTTKEASASSAFFDELVPQNMTPWEIPITKDIDGLLSQALLLGELG
UniProt 수납 번호
배송 상태
wet ice
저장 온도
−20°C
Gene Information
human ... SEC31B(25956)
SEC31 homolog B, COPII coat complex component (SEC31B), also known as SEC31-like 2, is encoded by the gene spanning 33,187bp with 29 exons. It is mapped to human chromosome 10q24. The encoded protein is predominantly expressed in cerebellum and testis.
🏷️Merck Sigma 상품 둘러보기
동일 브랜드의 다른 상품들을 확인해보세요

Merck Sigma
Merck Anti-XKR7 antibody produced in rabbit
895,700원

Merck Sigma
Merck Anti-NARFL antibody produced in rabbit
817,800원

Merck Sigma
Merck Anti-SEC31B antibody produced in rabbit
895,700원

Merck Sigma
Merck Anti-ZC3H7A antibody produced in rabbit
895,700원

Merck Sigma
Merck Anti-SV2C antibody produced in rabbit
895,700원
배송/결제/교환/반품 안내
배송 정보
| 기본 배송비 |
| 교환/반품 배송비 |
|
|---|---|---|---|
| 착불 배송비 |
| ||
| 교환/반품 배송비 |
| ||
결제 및 환불 안내
| 결제수단 |
|
|---|---|
| 취소 |
|
| 반품 |
|
| 환급 |
|
교환 및 반품 접수
| 교환 및 반품 접수 기한 |
|
|---|---|
| 교환 및 반품 접수가 가능한 경우 |
|
| 교환 및 반품 접수가 불가능한 경우 |
|
교환 및 반품 신청
| 교환 절차 |
|
|---|---|
| 반품 절차 |
|
