
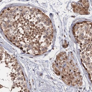
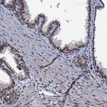
Merck Anti-NEK8 antibody produced in rabbit
✨AI 추천 연관 상품
AI가 분석한 이 상품과 연관된 추천 상품들을 확인해보세요
연관 상품을 찾고 있습니다...
Anti-NEK8 antibody produced in rabbit
Prestige Antibodies® Powered by Atlas Antibodies, affinity isolated antibody, buffered aqueous glycerol solution
Anti-Nima (never in mitosis gene a)- related kinase 8, Anti-Nphp9
NIMA (never in mitosis gene a)- related kinase 8 recombinant protein epitope signature tag (PrEST)
🏷️Merck Sigma 상품 둘러보기
동일 브랜드의 다른 상품들을 확인해보세요

Merck Sigma
Merck Anti-ZMIZ2 antibody produced in rabbit
895,600원

Merck Sigma
Merck Anti-MTFMT antibody produced in rabbit
895,700원

Merck Sigma
Merck Anti-NEK8 antibody produced in rabbit
895,700원

Merck Sigma
Merck Anti-NEK8 antibody produced in rabbit
895,700원

Merck Sigma
Merck Anti-ANKRD26 antibody produced in rabbit
895,700원
배송/결제/교환/반품 안내
배송 정보
| 기본 배송비 | 
 | 교환/반품 배송비 | 
 | 
|---|---|---|---|
| 착불 배송비 | 
 | ||
| 교환/반품 배송비 | 
 | ||
결제 및 환불 안내
| 결제수단 | 
 | 
|---|---|
| 취소 | 
 | 
| 반품 | 
 | 
| 환급 | 
 | 
교환 및 반품 접수
| 교환 및 반품 접수 기한 | 
 | 
|---|---|
| 교환 및 반품 접수가 가능한 경우 | 
 | 
| 교환 및 반품 접수가 불가능한 경우 | 
 | 
교환 및 반품 신청
| 교환 절차 | 
 | 
|---|---|
| 반품 절차 | 
 | 
문의 0
로그인 후 문의를 할 수 있습니다.
