
Merck Anti-POP4 antibody produced in rabbit
Rabbit에서 생산된 Anti-POP4 폴리클로날 항체로, Prestige Antibodies® Powered by Atlas Antibodies 제품입니다. 인간 POP4 단백질에 반응하며, immunoblotting 및 immunohistochemistry에 적합합니다. −20°C에서 보관하며, buffered glycerol 용액 형태로 제공됩니다.
✨AI 추천 연관 상품
AI가 분석한 이 상품과 연관된 추천 상품들을 확인해보세요
연관 상품을 찾고 있습니다...
Anti-POP4 antibody produced in rabbit
제품 개요
Prestige Antibodies® Powered by Atlas Antibodies 시리즈의 rabbit 유래 Anti-Processing Of Precursor 4 (POP4) 항체입니다.
Ribonuclease P/MRP Subunit (S. cerevisiae), Anti-RPP29에 대한 폴리클로날 항체로, buffered aqueous glycerol solution 형태로 제공됩니다.
생물학적 정보
- Biological Source: Rabbit
- Antibody Type: Primary antibody
- Clone Type: Polyclonal
- Conjugation: Unconjugated
- Form: Buffered aqueous glycerol solution
- Species Reactivity: Human
제품 라인
Prestige Antibodies® Powered by Atlas Antibodies
포장
- Small pack of 25 μL
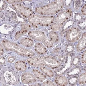
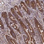
실험 적용
| Technique | Recommended Dilution / Concentration |
|---|---|
| Immunoblotting | 0.04–0.4 μg/mL |
| Immunohistochemistry | 1:20–1:50 |
면역원 서열
KKKKAKGLSARQRRELRLFDIKPEQQRYSLFLPLHELWKQYIRDLCSGLKPDTQPQMIQAKLLKADLHGAIUniProt 정보
- Accession Number: O95707
품질 및 저장 조건
| 항목 | 내용 |
|---|---|
| Quality Level | 100 |
| Shipping Condition | Wet ice |
| Storage Temperature | −20°C |
추가 정보
Processing of precursor 4, ribonuclease P/MRP subunit (S. cerevisiae) recombinant protein epitope signature tag (PrEST)
🏷️Merck Sigma 상품 둘러보기
동일 브랜드의 다른 상품들을 확인해보세요

Merck Sigma
Merck Anti-DTYMK antibody produced in rabbit
895,700원

Merck Sigma
Merck Anti-NLRP9 antibody produced in rabbit
895,700원

Merck Sigma
Merck Anti-POP4 antibody produced in rabbit
895,700원

Merck Sigma
Merck Anti-ZNF573 antibody produced in rabbit
895,600원

Merck Sigma
Merck Anti-ARHGAP40 antibody produced in rabbit
895,600원
배송/결제/교환/반품 안내
배송 정보
| 기본 배송비 |
| 교환/반품 배송비 |
|
|---|---|---|---|
| 착불 배송비 |
| ||
| 교환/반품 배송비 |
| ||
결제 및 환불 안내
| 결제수단 |
|
|---|---|
| 취소 |
|
| 반품 |
|
| 환급 |
|
교환 및 반품 접수
| 교환 및 반품 접수 기한 |
|
|---|---|
| 교환 및 반품 접수가 가능한 경우 |
|
| 교환 및 반품 접수가 불가능한 경우 |
|
교환 및 반품 신청
| 교환 절차 |
|
|---|---|
| 반품 절차 |
|