
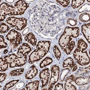
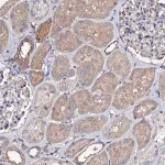
Merck Anti-TCAF2 antibody produced in rabbit
상품 한눈에 보기
Merck의 Anti-TCAF2 항체는 rabbit에서 생산된 polyclonal 항체로, Atlas Antibodies의 Prestige Antibodies® 라인 제품입니다. 인간 시료에 반응하며, 면역형광 및 면역조직화학 실험에 적합합니다. −20°C에서 보관하며, buffered glycerol 용액 형태로 제공됩니다.
브랜드: Merck Sigma
✨AI 추천 연관 상품
AI가 분석한 이 상품과 연관된 추천 상품들을 확인해보세요
연관 상품을 찾고 있습니다...
Anti-TCAF2 antibody produced in rabbit
제품 개요
Prestige Antibodies® Powered by Atlas Antibodies
Affinity isolated antibody, buffered aqueous glycerol solution
대상 단백질: Anti-FAM115C, Anti-FLJ40722, Anti-FAM139A
생물학적 정보
- Biological Source: Rabbit
- Clonality: Polyclonal
- Antibody Type: Primary antibody
- Conjugation: Unconjugated
제품 라인
Prestige Antibodies® Powered by Atlas Antibodies
형태 및 포장
- Form: Buffered aqueous glycerol solution
- Packaging: Small pack, 25 μL
반응 종
Human
실험 적용
| Technique | Working Concentration |
|---|---|
| Immunofluorescence | 0.25–2 μg/mL |
| Immunohistochemistry | 1:200–1:500 |
면역원 서열
WLARGQTGKVGVNTNLKDLCPLLSEHGLQCSLEPHLNSDLCVYCCKAYSDKEAKQLQEFVAE
품질 수준
Quality Level: 100 (M-Clarity Program)
유전자 정보
- Gene: FAM115C (Human, ID: 285966)
- Protein: TRPM8 channel associated factor 2 recombinant protein epitope signature tag (PrEST)
배송 및 보관
| Condition | Detail |
|---|---|
| Shipping | Wet ice |
| Storage Temperature | −20°C |
제품 이미지
(이미지 없음)
🏷️Merck Sigma 상품 둘러보기
동일 브랜드의 다른 상품들을 확인해보세요

Merck Sigma
Merck Anti-CNPY2 antibody produced in rabbit
895,600원

Merck Sigma
Merck Anti-BRIX1 antibody produced in rabbit
895,700원

Merck Sigma
Merck Anti-TCAF2 antibody produced in rabbit
895,700원

Merck Sigma
Merck Anti-STARD13 antibody produced in rabbit
895,700원

Merck Sigma
Merck Anti-TCAF2 antibody produced in rabbit
895,700원
배송/결제/교환/반품 안내
배송 정보
| 기본 배송비 |
| 교환/반품 배송비 |
|
|---|---|---|---|
| 착불 배송비 |
| ||
| 교환/반품 배송비 |
| ||
결제 및 환불 안내
| 결제수단 |
|
|---|---|
| 취소 |
|
| 반품 |
|
| 환급 |
|
교환 및 반품 접수
| 교환 및 반품 접수 기한 |
|
|---|---|
| 교환 및 반품 접수가 가능한 경우 |
|
| 교환 및 반품 접수가 불가능한 경우 |
|
교환 및 반품 신청
| 교환 절차 |
|
|---|---|
| 반품 절차 |
|
문의 0
로그인 후 문의를 할 수 있습니다.