
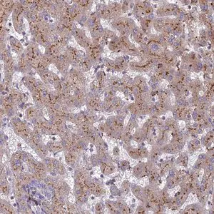
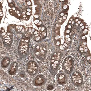
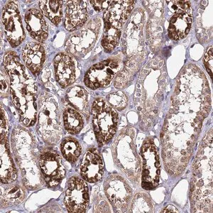
Merck Anti-ST3GAL6 antibody produced in rabbit
토끼에서 생산된 Anti-ST3GAL6 항체로, 인간 ST3 beta-galactoside α-2,3-sialyltransferase 6을 인식합니다. Prestige Antibodies® 라인의 polyclonal 항체이며, 면역조직화학(IHC)에 적합합니다. −20°C에서 보관하며, buffered aqueous glycerol 용액 형태로 제공됩니다.
✨AI 추천 연관 상품
AI가 분석한 이 상품과 연관된 추천 상품들을 확인해보세요
연관 상품을 찾고 있습니다...
Anti-ST3GAL6 antibody produced in rabbit
Prestige Antibodies® Powered by Atlas Antibodies
Affinity isolated antibody, buffered aqueous glycerol solution
Synonyms: Anti-ST3 beta-galactoside alpha-2,3-sialyltransferase 6, Anti-ST3GALVI, Anti-SIAT10
제품 정보
| 항목 | 내용 |
|---|---|
| 생물학적 소스 | Rabbit |
| Quality Level | 100 |
| 결합 | Unconjugated |
| 항체 형태 | Affinity isolated antibody |
| Antibody Product Type | Primary antibodies |
| 클론 | Polyclonal |
| 제품 라인 | Prestige Antibodies® Powered by Atlas Antibodies |
| 형태(Form) | Buffered aqueous glycerol solution |
| Species Reactivity | Human |
| 포장 단위 | Antibody small pack of 25 μL |
| 적용 기술(technique(s)) | Immunohistochemistry: 1:50–1:200 |
| 면역원 서열 | IQPCLSKPAFASLLRFHQFHPFLCAADFRKIASLYGSDKFDLPYGMRTSAEYFRLALSKLQSCDLFDEFDNIPCKKCVVVGNGGVLKNKTLGEKIDSYDVIIRMNNG |
| UniProt 수납 번호 | Q9Y274 |
| 배송 상태 | Wet ice |
| 저장 온도 | −20 °C |
Gene Information
Gene: ST3GAL6 (10402)
Species: Human
The gene ST3GAL6 (CMP-NeuAc:β-galactoside α-2,3-sialyltransferase VI) is located on human chromosome 3q12.1. It belongs to the human CMP-NeuAc:β-galactoside α2,3-sialyltransferase subfamily and is highly expressed in heart, placenta, and liver.
🏷️Merck Sigma 상품 둘러보기
동일 브랜드의 다른 상품들을 확인해보세요

Merck Sigma
Merck Anti-SYF2 antibody produced in rabbit
895,700원

Merck Sigma
Merck Anti-SGIP1 antibody produced in rabbit
370,530원

Merck Sigma
Merck Anti-ST3GAL6 antibody produced in rabbit
895,700원

Merck Sigma
Merck Anti-HMGCR antibody produced in rabbit
370,530원

Merck Sigma
Merck Anti-PRODH antibody produced in rabbit
895,700원
배송/결제/교환/반품 안내
배송 정보
| 기본 배송비 |
| 교환/반품 배송비 |
|
|---|---|---|---|
| 착불 배송비 |
| ||
| 교환/반품 배송비 |
| ||
결제 및 환불 안내
| 결제수단 |
|
|---|---|
| 취소 |
|
| 반품 |
|
| 환급 |
|
교환 및 반품 접수
| 교환 및 반품 접수 기한 |
|
|---|---|
| 교환 및 반품 접수가 가능한 경우 |
|
| 교환 및 반품 접수가 불가능한 경우 |
|
교환 및 반품 신청
| 교환 절차 |
|
|---|---|
| 반품 절차 |
|