
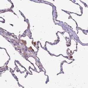
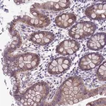
Merck Anti-SLC15A3 antibody produced in rabbit
상품 한눈에 보기
토끼에서 생산된 Anti-SLC15A3 항체로, Solute Carrier Family 15 멤버 3 단백질을 특이적으로 인식합니다. Atlas Antibodies의 Prestige Antibodies® 기술로 제작된 친화도 정제 항체입니다. 면역블롯 및 면역형광 등 다양한 연구용에 적합합니다.
브랜드: Merck Sigma
✨AI 추천 연관 상품
AI가 분석한 이 상품과 연관된 추천 상품들을 확인해보세요
연관 상품을 찾고 있습니다...
Anti-SLC15A3 antibody produced in rabbit
Prestige Antibodies® Powered by Atlas Antibodies
Affinity isolated antibody, buffered aqueous glycerol solution
Synonyms
- Anti-hPTR3
- Anti-Solute Carrier Family 15, Member 3
- Anti-PHT2
Description
Solute carrier family 15, member 3 recombinant protein epitope signature tag (PrEST)
Specifications
| 항목 | 내용 |
|---|---|
| 제품명 | Anti-SLC15A3 antibody produced in rabbit |
| 브랜드 | Prestige Antibodies® (Atlas Antibodies) |
| 호스트 | Rabbit |
| 정제 방법 | Affinity isolated |
| 형태 | Buffered aqueous glycerol solution |
| 표적 단백질 | Solute Carrier Family 15, Member 3 (SLC15A3, PHT2, hPTR3) |
| 응용 분야 | Western blot, Immunofluorescence 등 연구용 |
| 공급업체 | Merck Sigma |
🏷️Merck Sigma 상품 둘러보기
동일 브랜드의 다른 상품들을 확인해보세요

Merck Sigma
Merck Anti-RPS13 antibody produced in rabbit
895,700원

Merck Sigma
Merck Anti-PHKA2 antibody produced in rabbit
895,700원

Merck Sigma
Merck Anti-SLC15A3 antibody produced in rabbit
370,530원

Merck Sigma
Merck Anti-INPP4A antibody produced in rabbit
895,700원

Merck Sigma
Merck Anti-CCDC191 antibody produced in rabbit
370,530원
배송/결제/교환/반품 안내
배송 정보
| 기본 배송비 |
| 교환/반품 배송비 |
|
|---|---|---|---|
| 착불 배송비 |
| ||
| 교환/반품 배송비 |
| ||
결제 및 환불 안내
| 결제수단 |
|
|---|---|
| 취소 |
|
| 반품 |
|
| 환급 |
|
교환 및 반품 접수
| 교환 및 반품 접수 기한 |
|
|---|---|
| 교환 및 반품 접수가 가능한 경우 |
|
| 교환 및 반품 접수가 불가능한 경우 |
|
교환 및 반품 신청
| 교환 절차 |
|
|---|---|
| 반품 절차 |
|
문의 0
로그인 후 문의를 할 수 있습니다.