
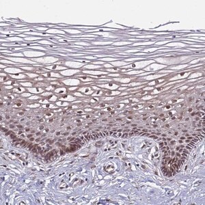
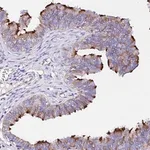
Merck Anti-POLR2D antibody produced in rabbit
Rabbit에서 생산된 Anti-POLR2D 항체로, Atlas Antibodies의 Prestige Antibodies® 제품군에 속함. 인간 POLR2D 단백질에 반응하며, immunoblotting 및 immunohistochemistry에 적합. 비결합형, 다클론성, glycerol buffer 용액 형태로 제공.
✨AI 추천 연관 상품
AI가 분석한 이 상품과 연관된 추천 상품들을 확인해보세요
연관 상품을 찾고 있습니다...
Anti-POLR2D antibody produced in rabbit
제품 개요
Prestige Antibodies® Powered by Atlas Antibodies
Affinity isolated antibody, buffered aqueous glycerol solution
Anti-Polymerase (RNA) II (DNA Directed) Polypeptide D, Anti-RBP4
생물학적 소스
rabbit
품질 등급
100 (M-Clarity Program)
결합 형태
unconjugated
항체 형태
affinity isolated antibody
항체 타입
primary antibodies
클론
polyclonal
제품 라인
Prestige Antibodies® Powered by Atlas Antibodies
제형
buffered aqueous glycerol solution
반응 종
human
포장
25 μL (small pack)
적용 기술
- Immunoblotting: 0.04–0.4 μg/mL
- Immunohistochemistry: 1:50–1:200
면역원 서열
NRETIASVRSLLLQKKLHKFELACLANLCPETAEESKALIPSLEGRFEDEELQQILDDIQTKRSFQY
UniProt 수납 번호
배송 상태
wet ice
저장 온도
−20°C
유전자 정보
human POLR2D (Gene ID: 5433)
Polymerase (RNA) II (DNA directed) polypeptide D recombinant protein epitope signature tag (PrEST)
🏷️Merck Sigma 상품 둘러보기
동일 브랜드의 다른 상품들을 확인해보세요

Merck Sigma
Merck Anti-DAW1 antibody produced in rabbit
370,530원

Merck Sigma
Merck Anti-JRKL antibody produced in rabbit
370,530원

Merck Sigma
Merck Anti-POLR2D antibody produced in rabbit
370,530원

Merck Sigma
Merck Anti-NSUN6 antibody produced in rabbit
370,530원

Merck Sigma
Merck Anti-ZDHHC14 antibody produced in rabbit
370,530원
배송/결제/교환/반품 안내
배송 정보
| 기본 배송비 |
| 교환/반품 배송비 |
|
|---|---|---|---|
| 착불 배송비 |
| ||
| 교환/반품 배송비 |
| ||
결제 및 환불 안내
| 결제수단 |
|
|---|---|
| 취소 |
|
| 반품 |
|
| 환급 |
|
교환 및 반품 접수
| 교환 및 반품 접수 기한 |
|
|---|---|
| 교환 및 반품 접수가 가능한 경우 |
|
| 교환 및 반품 접수가 불가능한 경우 |
|
교환 및 반품 신청
| 교환 절차 |
|
|---|---|
| 반품 절차 |
|