
Merck Anti-SGMS1 antibody produced in rabbit
토끼에서 생산된 Anti-SGMS1 항체로, 인간 SGMS1 단백질을 인식하는 polyclonal primary antibody입니다. Western blot, IF, IHC 등 다양한 면역분석에 적합하며, Prestige Antibodies® 시리즈로 높은 특이성과 재현성을 제공합니다.
✨AI 추천 연관 상품
AI가 분석한 이 상품과 연관된 추천 상품들을 확인해보세요
연관 상품을 찾고 있습니다...
Anti-SGMS1 antibody produced in rabbit
제품 개요
Prestige Antibodies® Powered by Atlas Antibodies 시리즈의 affinity isolated antibody로, buffered aqueous glycerol solution 형태의 항체입니다.
이 항체는 Anti-MOB, Anti-MGC17342, Anti-TMEM23, Anti-SMS1, Anti-Sphingomyelin Synthase 1로도 알려져 있습니다.
제품 정보
| 항목 | 내용 |
|---|---|
| 생물학적 소스 | Rabbit |
| Quality Level | 100 |
| 결합 형태 | Unconjugated |
| 항체 형태 | Affinity isolated antibody |
| Antibody Product Type | Primary antibodies |
| 클론 | Polyclonal |
| 제품 라인 | Prestige Antibodies® Powered by Atlas Antibodies |
| 형태(Form) | Buffered aqueous glycerol solution |
| Species Reactivity | Human |
| 포장 단위 | 25 μL (small pack) |
| 배송 상태 | Wet ice |
| 저장 온도 | −20°C |
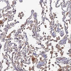
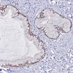
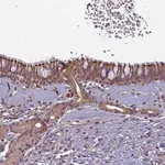
실험 적용
- Immunoblotting (WB): 0.04–0.4 μg/mL
- Immunofluorescence (IF): 0.25–2 μg/mL
- Immunohistochemistry (IHC): 1:500–1:1000
면역원 서열
ASTMKEVVYWSPKKVADWLLENAMPEYCEPLEHFTGQDLINLTQEDFKKPPLCRVSSDNGQRLLDMIETLKMEHHLEAHKNGHANGHLNIGVDIPTPDGSFSIKIKPNGMPNGYRKEMIKIPM
UniProt 수납 번호
Gene Information
Human SGMS1 (259230)
Sphingomyelin synthase 1 recombinant protein epitope signature tag (PrEST)
🏷️Merck Sigma 상품 둘러보기
동일 브랜드의 다른 상품들을 확인해보세요

Merck Sigma
Merck Anti-C2orf69 antibody produced in rabbit
370,530원

Merck Sigma
Merck Anti-PCDHB14 antibody produced in rabbit
370,530원

Merck Sigma
Merck Anti-SGMS1 antibody produced in rabbit
370,530원

Merck Sigma
Merck Anti-ZMIZ1 antibody produced in rabbit
370,530원

Merck Sigma
Merck Anti-CCDC167 antibody produced in rabbit
370,530원
배송/결제/교환/반품 안내
배송 정보
| 기본 배송비 |
| 교환/반품 배송비 |
|
|---|---|---|---|
| 착불 배송비 |
| ||
| 교환/반품 배송비 |
| ||
결제 및 환불 안내
| 결제수단 |
|
|---|---|
| 취소 |
|
| 반품 |
|
| 환급 |
|
교환 및 반품 접수
| 교환 및 반품 접수 기한 |
|
|---|---|
| 교환 및 반품 접수가 가능한 경우 |
|
| 교환 및 반품 접수가 불가능한 경우 |
|
교환 및 반품 신청
| 교환 절차 |
|
|---|---|
| 반품 절차 |
|