
Merck Anti-KRT71 antibody produced in rabbit
상품 한눈에 보기
토끼에서 생산된 Anti-KRT71 항체로, 인간 KRT71 단백질을 특이적으로 인식합니다. Prestige Antibodies® 시리즈로 높은 품질과 재현성을 제공합니다. 면역조직화학(IHC)에 적합하며, −20°C에서 보관합니다.
브랜드: Merck Sigma
✨AI 추천 연관 상품
AI가 분석한 이 상품과 연관된 추천 상품들을 확인해보세요
연관 상품을 찾고 있습니다...
Anti-KRT71 antibody produced in rabbit
Prestige Antibodies® Powered by Atlas Antibodies
Affinity isolated antibody, buffered aqueous glycerol solution
Synonyms: Anti-KRT6IRS1, Anti-KRT6IRS, Anti-keratin 71, Anti-K6IRS1
제품 정보
| 항목 | 내용 |
|---|---|
| 생물학적 소스 | Rabbit |
| 품질 등급 | 100 |
| 결합 형태 | Unconjugated |
| 항체 형태 | Affinity isolated antibody |
| 항체 유형 | Primary antibody |
| 클론 | Polyclonal |
| 제품 라인 | Prestige Antibodies® Powered by Atlas Antibodies |
| 제형 | Buffered aqueous glycerol solution |
| 반응 종 | Human |
| 포장 단위 | 25 μL (small pack) |
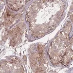
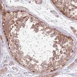
| 적용 기술 | Immunohistochemistry (IHC): 1:1000–1:2500 |
| 면역원 서열 | EFPSPVSISIISSTSGGSGYGFRPSMVSGGYVANSSNCISGVCSVRGGEGRSRGSANDYKDTLGKGSSLSAPSKKTSR |
| UniProt 번호 | Q3SY84 |
| 배송 상태 | Wet ice |
| 저장 온도 | −20°C |
| 유전자 정보 | Human KRT71 (112802), keratin 71 recombinant protein epitope signature tag (PrEST) |
제품 개요
이 항체는 인간 KRT71 단백질을 인식하는 토끼 유래 다클론 항체로, Prestige Antibodies® Powered by Atlas Antibodies 시리즈에 속합니다. 높은 특이성과 재현성을 제공하며, 면역조직화학(IHC) 분석에 최적화되어 있습니다.
🏷️Merck Sigma 상품 둘러보기
동일 브랜드의 다른 상품들을 확인해보세요

Merck Sigma
Merck Anti-RPL23A antibody produced in rabbit
370,530원

Merck Sigma
Merck Anti-AMMECR1 antibody produced in rabbit
370,530원

Merck Sigma
Merck Anti-KRT71 antibody produced in rabbit
370,530원

Merck Sigma
Merck Anti-TMEM232 antibody produced in rabbit
370,530원

Merck Sigma
Merck Anti-PLD6 antibody produced in rabbit
370,530원
배송/결제/교환/반품 안내
배송 정보
| 기본 배송비 |
| 교환/반품 배송비 |
|
|---|---|---|---|
| 착불 배송비 |
| ||
| 교환/반품 배송비 |
| ||
결제 및 환불 안내
| 결제수단 |
|
|---|---|
| 취소 |
|
| 반품 |
|
| 환급 |
|
교환 및 반품 접수
| 교환 및 반품 접수 기한 |
|
|---|---|
| 교환 및 반품 접수가 가능한 경우 |
|
| 교환 및 반품 접수가 불가능한 경우 |
|
교환 및 반품 신청
| 교환 절차 |
|
|---|---|
| 반품 절차 |
|
문의 0
로그인 후 문의를 할 수 있습니다.