
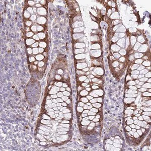
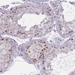
Merck Anti-ANO8 antibody produced in rabbit
상품 한눈에 보기
Merck의 Anti-ANO8 rabbit polyclonal antibody로, 인간 ANO8 단백질을 인식합니다. Prestige Antibodies® 라인 제품이며, 면역조직화학용으로 적합합니다. −20°C에서 보관하며, 25 μL 포장으로 제공됩니다.
브랜드: Merck Sigma
✨AI 추천 연관 상품
AI가 분석한 이 상품과 연관된 추천 상품들을 확인해보세요
연관 상품을 찾고 있습니다...
Anti-ANO8 antibody produced in rabbit
제품 개요
Prestige Antibodies® Powered by Atlas Antibodies
Affinity isolated antibody, buffered aqueous glycerol solution
Anti-anoctamin 8, Anti-KIAA1623, Anti-TMEM16H
생물학적 정보
- Source: Rabbit
- Clonality: Polyclonal
- Conjugation: Unconjugated
- Antibody type: Primary antibody
- Form: Buffered aqueous glycerol solution
- Product line: Prestige Antibodies® Powered by Atlas Antibodies
- Species reactivity: Human
- Packaging: 25 μL small pack
실험 적용
- Technique(s): Immunohistochemistry (IHC) dilution 1:50–1:200
품질 및 관리
| 항목 | 내용 |
|---|---|
| Quality Level | 100 |
| Shipping Condition | Wet ice |
| Storage Temperature | −20°C |
분자 정보
- Immunogen sequence:
REHDSGGREEARAEGSGLDPATSSEKASAKAKGSTAGGHGPERPKRPGSLLAPNNVMKLKQIIPLQGKFLSSGAT - UniProt accession: Q9HCE9
- Gene Information: human ANO8 (57719)
Anoctamin 8 recombinant protein epitope signature tag (PrEST)
제품 이미지
(이미지 없음)
🏷️Merck Sigma 상품 둘러보기
동일 브랜드의 다른 상품들을 확인해보세요

Merck Sigma
Merck Anti-LYPD6B antibody produced in rabbit
370,530원

Merck Sigma
Merck Anti-CHAC2 antibody produced in rabbit
370,530원

Merck Sigma
Merck Anti-ANO8 antibody produced in rabbit
370,530원

Merck Sigma
Merck Anti-LCLAT1 antibody produced in rabbit
370,530원

Merck Sigma
Merck Anti-ZKSCAN2 antibody produced in rabbit
370,530원
배송/결제/교환/반품 안내
배송 정보
| 기본 배송비 |
| 교환/반품 배송비 |
|
|---|---|---|---|
| 착불 배송비 |
| ||
| 교환/반품 배송비 |
| ||
결제 및 환불 안내
| 결제수단 |
|
|---|---|
| 취소 |
|
| 반품 |
|
| 환급 |
|
교환 및 반품 접수
| 교환 및 반품 접수 기한 |
|
|---|---|
| 교환 및 반품 접수가 가능한 경우 |
|
| 교환 및 반품 접수가 불가능한 경우 |
|
교환 및 반품 신청
| 교환 절차 |
|
|---|---|
| 반품 절차 |
|
문의 0
로그인 후 문의를 할 수 있습니다.