
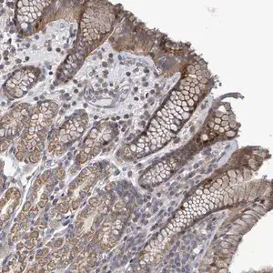
Merck Anti-FAM171A1 antibody produced in rabbit
상품 한눈에 보기
Rabbit-derived Anti-FAM171A1 antibody for research use; affinity isolated and buffered in aqueous glycerol solution; part of Prestige Antibodies® powered by Atlas Antibodies; specific for FAM171A1 recombinant protein epitope signature tag (PrEST).
브랜드: Merck Sigma
✨AI 추천 연관 상품
AI가 분석한 이 상품과 연관된 추천 상품들을 확인해보세요
연관 상품을 찾고 있습니다...
Anti-FAM171A1 antibody produced in rabbit
Prestige Antibodies® Powered by Atlas Antibodies
Affinity isolated antibody, buffered aqueous glycerol solution.
제품 설명
Anti-family with sequence similarity 171, member A1 (Anti-FLJ12884, Anti-C10orf38).
Recognizes family with sequence similarity 171, member A1 recombinant protein epitope signature tag (PrEST).
제품 스펙
| 항목 | 내용 |
|---|---|
| 제품명 | Anti-FAM171A1 antibody produced in rabbit |
| 브랜드 | Prestige Antibodies® powered by Atlas Antibodies |
| 공급업체 | Merck Sigma |
| 항체 유형 | Rabbit polyclonal antibody |
| 정제 방식 | Affinity isolated |
| 용액 구성 | Buffered aqueous glycerol solution |
| 타깃 단백질 | FAM171A1 (FLJ12884, C10orf38) |
| 인식 부위 | Recombinant protein epitope signature tag (PrEST) |
🏷️Merck Sigma 상품 둘러보기
동일 브랜드의 다른 상품들을 확인해보세요

Merck Sigma
Merck Anti-SH2D7 antibody produced in rabbit
370,530원

Merck Sigma
Merck Anti-GABARAPL1 antibody produced in rabbit
370,530원

Merck Sigma
Merck Anti-FAM171A1 antibody produced in rabbit
370,530원

Merck Sigma
Merck Anti-MTMR12 antibody produced in rabbit
370,530원

Merck Sigma
Merck Anti-SMIM14 antibody produced in rabbit
370,530원
배송/결제/교환/반품 안내
배송 정보
| 기본 배송비 |
| 교환/반품 배송비 |
|
|---|---|---|---|
| 착불 배송비 |
| ||
| 교환/반품 배송비 |
| ||
결제 및 환불 안내
| 결제수단 |
|
|---|---|
| 취소 |
|
| 반품 |
|
| 환급 |
|
교환 및 반품 접수
| 교환 및 반품 접수 기한 |
|
|---|---|
| 교환 및 반품 접수가 가능한 경우 |
|
| 교환 및 반품 접수가 불가능한 경우 |
|
교환 및 반품 신청
| 교환 절차 |
|
|---|---|
| 반품 절차 |
|
문의 0
로그인 후 문의를 할 수 있습니다.