
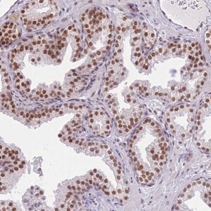
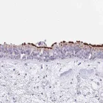
Merck Anti-ZBED5 antibody produced in rabbit
Rabbit에서 생산된 Anti-ZBED5 polyclonal antibody로, 인간 ZBED5 단백질을 특이적으로 인식합니다. Prestige Antibodies® Powered by Atlas Antibodies 제품군에 속하며, 면역조직화학(IHC)에 적합합니다. −20°C에서 보관하며, buffered glycerol 용액 형태로 제공됩니다.
✨AI 추천 연관 상품
AI가 분석한 이 상품과 연관된 추천 상품들을 확인해보세요
연관 상품을 찾고 있습니다...
Anti-ZBED5 antibody produced in rabbit
제품 개요
Prestige Antibodies® Powered by Atlas Antibodies
Affinity isolated antibody, buffered aqueous glycerol solution
Anti-Buster1, Anti-zinc finger, BED-type containing 5
생물학적 소스
rabbit
품질 등급
100 (M-Clarity Program)
결합
unconjugated
항체 형태
affinity isolated antibody
항체 유형
primary antibodies
클론
polyclonal
제품 라인
Prestige Antibodies® Powered by Atlas Antibodies
형태
buffered aqueous glycerol solution
반응 종
human
포장
antibody small pack of 25 μL
적용 기술
- Immunohistochemistry (IHC): 1:200–1:500
면역원 서열
TKHAAYKDKDISFFKQHLDSPENNKPPTPKIVNTDNESATEASYNVSYHIALSGEAHTIGELLIKPCAKDVVMRMFDEQYSKKIDAVQLSNSTVARRUniProt 수납 번호
배송 상태
wet ice
저장 온도
−20°C
유전자 정보
human ZBED5 (58486)
Zinc finger, BED-type containing 5 recombinant protein epitope signature tag (PrEST)
제품 스펙 요약
| 항목 | 내용 |
|---|---|
| Biological Source | Rabbit |
| Quality Level | 100 |
| Conjugation | Unconjugated |
| Antibody Form | Affinity isolated antibody |
| Type | Primary, Polyclonal |
| Product Line | Prestige Antibodies® Powered by Atlas Antibodies |
| Formulation | Buffered aqueous glycerol solution |
| Species Reactivity | Human |
| Package Size | 25 μL |
| Application | IHC (1:200–1:500) |
| Storage Temperature | −20°C |
| Shipping Condition | Wet ice |
| UniProt Accession | Q49AG3 |
| Gene | ZBED5 (58486) |
🏷️Merck Sigma 상품 둘러보기
동일 브랜드의 다른 상품들을 확인해보세요

Merck Sigma
Merck Anti-SPAG4 antibody produced in rabbit
370,530원

Merck Sigma
Merck Anti-PRR32 antibody produced in rabbit
370,530원

Merck Sigma
Merck Anti-ZBED5 antibody produced in rabbit
370,530원

Merck Sigma
Merck Anti-DBF4B antibody produced in rabbit
370,530원

Merck Sigma
Merck Anti-CPXM2 antibody produced in rabbit
370,530원
배송/결제/교환/반품 안내
배송 정보
| 기본 배송비 |
| 교환/반품 배송비 |
|
|---|---|---|---|
| 착불 배송비 |
| ||
| 교환/반품 배송비 |
| ||
결제 및 환불 안내
| 결제수단 |
|
|---|---|
| 취소 |
|
| 반품 |
|
| 환급 |
|
교환 및 반품 접수
| 교환 및 반품 접수 기한 |
|
|---|---|
| 교환 및 반품 접수가 가능한 경우 |
|
| 교환 및 반품 접수가 불가능한 경우 |
|
교환 및 반품 신청
| 교환 절차 |
|
|---|---|
| 반품 절차 |
|