
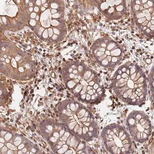
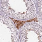
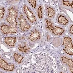
Merck Anti-SDCCAG8 antibody produced in rabbit
상품 한눈에 보기
토끼에서 생산된 Anti-SDCCAG8 항체로, Atlas Antibodies 기술 기반 Prestige Antibodies® 제품입니다. SDCCAG8 관련 단백질 연구에 적합하며, 높은 특이성과 친화력을 가진 정제 항체입니다.
브랜드: Merck Sigma
✨AI 추천 연관 상품
AI가 분석한 이 상품과 연관된 추천 상품들을 확인해보세요
연관 상품을 찾고 있습니다...
Anti-SDCCAG8 antibody produced in rabbit
제품 개요
Prestige Antibodies® Powered by Atlas Antibodies의 친화력 분리 항체로, 완충된 수성 글리세롤 용액 형태로 제공됩니다.
SDCCAG8 단백질 및 관련 항원 연구에 사용됩니다.
관련 명칭
- Anti-NY-CO-8
- Anti-serologically defined colon cancer antigen 8
- Anti-BBS16
- Anti-CCCAP
- Anti-SLSN7
- Anti-NPHP10
serologically defined colon cancer antigen 8 recombinant protein epitope signature tag (PrEST)
제품 사양
| 항목 | 내용 |
|---|---|
| 제품명 | Anti-SDCCAG8 antibody produced in rabbit |
| 브랜드 | Prestige Antibodies® Powered by Atlas Antibodies |
| 공급업체 | Merck Sigma |
| 항체 유형 | Affinity isolated antibody |
| 용액 형태 | Buffered aqueous glycerol solution |
| 종 | Rabbit |
🏷️Merck Sigma 상품 둘러보기
동일 브랜드의 다른 상품들을 확인해보세요

Merck Sigma
Merck Anti-PTCHD3 antibody produced in rabbit
370,530원

Merck Sigma
Merck Anti-TMEM62 antibody produced in rabbit
370,530원

Merck Sigma
Merck Anti-SDCCAG8 antibody produced in rabbit
370,530원

Merck Sigma
Merck Anti-SURF2 antibody produced in rabbit
370,530원

Merck Sigma
Merck Anti-ANAPC10 antibody produced in rabbit
370,530원
배송/결제/교환/반품 안내
배송 정보
| 기본 배송비 |
| 교환/반품 배송비 |
|
|---|---|---|---|
| 착불 배송비 |
| ||
| 교환/반품 배송비 |
| ||
결제 및 환불 안내
| 결제수단 |
|
|---|---|
| 취소 |
|
| 반품 |
|
| 환급 |
|
교환 및 반품 접수
| 교환 및 반품 접수 기한 |
|
|---|---|
| 교환 및 반품 접수가 가능한 경우 |
|
| 교환 및 반품 접수가 불가능한 경우 |
|
교환 및 반품 신청
| 교환 절차 |
|
|---|---|
| 반품 절차 |
|
문의 0
로그인 후 문의를 할 수 있습니다.