
Merck Anti-ACY1 antibody produced in rabbit
상품 한눈에 보기
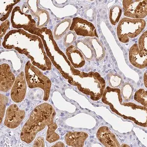
Rabbit에서 생산된 Anti-ACY1 polyclonal antibody로, human aminoacylase 1을 인식합니다. Prestige Antibodies® Powered by Atlas Antibodies 제품이며, IHC에 적합합니다. Buffered aqueous glycerol solution 형태로 제공되며 −20°C에서 보관합니다.
브랜드: Merck Sigma
✨AI 추천 연관 상품
AI가 분석한 이 상품과 연관된 추천 상품들을 확인해보세요
연관 상품을 찾고 있습니다...
Anti-ACY1 antibody produced in rabbit
제품 개요
Prestige Antibodies® Powered by Atlas Antibodies 시리즈의 affinity isolated primary antibody로, human aminoacylase 1(ACY1)을 인식합니다. Buffered aqueous glycerol solution 형태로 제공됩니다.
제품 특징
- Biological Source: Rabbit
- Antibody Type: Polyclonal, Unconjugated
- Application: Immunohistochemistry (IHC)
- Product Line: Prestige Antibodies® Powered by Atlas Antibodies
스펙 정보
| 항목 | 내용 |
|---|---|
| Biological Source | Rabbit |
| Quality Level | 100 |
| Conjugation | Unconjugated |
| Antibody Form | Affinity isolated antibody |
| Product Type | Primary antibodies |
| Clone | Polyclonal |
| Product Line | Prestige Antibodies® Powered by Atlas Antibodies |
| Form | Buffered aqueous glycerol solution |
| Species Reactivity | Human |
| Packaging | Antibody small pack of 25 μL |
| Technique(s) | Immunohistochemistry (1:200–1:500) |
| Immunogen Sequence | SVTSVNLTKLEGGVAYNVIPATMSASFDFRVAPDVDFKAFEEQLQSWCQAAGEGVTLEFAQKWMHPQVTPTDDSNPWWAAFSRVCK |
| UniProt Accession | Q03154 |
| Shipping Conditions | Wet ice |
| Storage Temperature | −20°C |
| Gene Information | Human ACY1(95) |
| Epitope | Aminoacylase 1 recombinant protein epitope signature tag (PrEST) |
관련 정보
Anti-aminoacylase 1 antibody는 human ACY1 단백질을 표적하며, 연구용으로 사용됩니다.
제품 이미지
(이미지 없음)
🏷️Merck Sigma 상품 둘러보기
동일 브랜드의 다른 상품들을 확인해보세요

Merck Sigma
Merck Anti-GFM2 antibody produced in rabbit
895,700원

Merck Sigma
Merck Anti-TMEM63B antibody produced in rabbit
370,530원

Merck Sigma
Merck Anti-ACY1 antibody produced in rabbit
895,700원

Merck Sigma
Merck Anti-PKN2 antibody produced in rabbit
895,700원

Merck Sigma
Merck Anti-EPS8L3 antibody produced in rabbit
895,700원
배송/결제/교환/반품 안내
배송 정보
| 기본 배송비 |
| 교환/반품 배송비 |
|
|---|---|---|---|
| 착불 배송비 |
| ||
| 교환/반품 배송비 |
| ||
결제 및 환불 안내
| 결제수단 |
|
|---|---|
| 취소 |
|
| 반품 |
|
| 환급 |
|
교환 및 반품 접수
| 교환 및 반품 접수 기한 |
|
|---|---|
| 교환 및 반품 접수가 가능한 경우 |
|
| 교환 및 반품 접수가 불가능한 경우 |
|
교환 및 반품 신청
| 교환 절차 |
|
|---|---|
| 반품 절차 |
|
문의 0
로그인 후 문의를 할 수 있습니다.