
Merck Anti-ZNF786 antibody produced in rabbit
상품 한눈에 보기
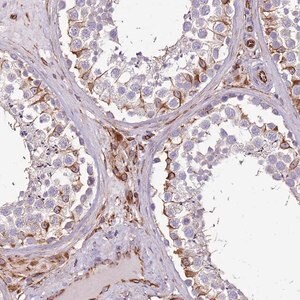
토끼에서 생산된 Anti-ZNF786 항체로, zinc finger protein 786을 특이적으로 인식합니다. Atlas Antibodies의 Prestige Antibodies® 라인 제품으로, 친화 정제된 buffered aqueous glycerol 용액 형태입니다. 연구용 단백질 분석에 적합합니다.
브랜드: Merck Sigma
✨AI 추천 연관 상품
AI가 분석한 이 상품과 연관된 추천 상품들을 확인해보세요
연관 상품을 찾고 있습니다...
Anti-ZNF786 antibody produced in rabbit
제품 개요
Prestige Antibodies® Powered by Atlas Antibodies 시리즈의 항체로, 토끼에서 생산된 친화 정제 항체입니다. Buffered aqueous glycerol 용액 형태로 제공되며, zinc finger protein 786을 특이적으로 인식합니다.
항원 정보
- 대상 단백질: Zinc finger protein 786 (ZNF786)
- 대체 명칭: Anti-DKFZp762I137, Anti-zinc finger protein 786
- 항원: Zinc finger protein 786 recombinant protein epitope signature tag (PrEST)
제품 사양
| 항목 | 내용 |
|---|---|
| 제품명 | Anti-ZNF786 antibody produced in rabbit |
| 브랜드 | Prestige Antibodies® (Atlas Antibodies) |
| 공급업체 | Merck Sigma |
| 숙주 | Rabbit |
| 정제 방식 | Affinity isolated antibody |
| 형태 | Buffered aqueous glycerol solution |
| 대상 단백질 | ZNF786 (Zinc finger protein 786) |
| 응용 분야 | 단백질 발현 분석, 면역화학 연구 |
🏷️Merck Sigma 상품 둘러보기
동일 브랜드의 다른 상품들을 확인해보세요

Merck Sigma
Merck Anti-KIAA0368 antibody produced in rabbit
817,800원

Merck Sigma
Merck Anti-ZNF791 antibody produced in rabbit
895,700원

Merck Sigma
Merck Anti-ZNF786 antibody produced in rabbit
895,700원

Merck Sigma
Merck Anti-RAB11FIP4 antibody produced in rabbit
895,700원

Merck Sigma
Merck Anti-CREBZF antibody produced in rabbit
895,700원
배송/결제/교환/반품 안내
배송 정보
| 기본 배송비 |
| 교환/반품 배송비 |
|
|---|---|---|---|
| 착불 배송비 |
| ||
| 교환/반품 배송비 |
| ||
결제 및 환불 안내
| 결제수단 |
|
|---|---|
| 취소 |
|
| 반품 |
|
| 환급 |
|
교환 및 반품 접수
| 교환 및 반품 접수 기한 |
|
|---|---|
| 교환 및 반품 접수가 가능한 경우 |
|
| 교환 및 반품 접수가 불가능한 경우 |
|
교환 및 반품 신청
| 교환 절차 |
|
|---|---|
| 반품 절차 |
|
문의 0
로그인 후 문의를 할 수 있습니다.