
Merck Anti-ZNF827 antibody produced in rabbit
Rabbit에서 생산된 Anti-ZNF827 폴리클로날 항체로, 인간 ZNF827 단백질을 특이적으로 인식합니다. Prestige Antibodies® 라인 제품이며, 면역형광 및 면역조직화학에 적합합니다. 친화 정제된 형태로 −20°C에 보관합니다.
✨AI 추천 연관 상품
AI가 분석한 이 상품과 연관된 추천 상품들을 확인해보세요
연관 상품을 찾고 있습니다...
Anti-ZNF827 antibody produced in rabbit
제품 개요
Prestige Antibodies® Powered by Atlas Antibodies
Affinity isolated antibody, buffered aqueous glycerol solution
Target: Zinc finger protein 827 (ZNF827)
생물학적 소스
rabbit
품질 등급
100 (M-Clarity Program)
결합 형태
unconjugated
항체 형태
affinity isolated antibody
항체 유형
primary antibody
클론
polyclonal
제품 라인
Prestige Antibodies® Powered by Atlas Antibodies
제형
buffered aqueous glycerol solution
반응 종
human
포장 단위
small pack of 25 μL
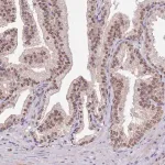
적용 기술
- Immunofluorescence: 0.25–2 μg/mL
- Immunohistochemistry: 1:200–1:500
면역원 서열
LNVQFVSHMSLHVDKEQWMFSICCTACDFVTMEEAEIKTHIGTKHTGEDRKTPSESNSPSSSSLSALSDSANSKDDSDGSQKNKGGNNLLVISVMP
UniProt 수납 번호
배송 상태
wet ice
저장 온도
−20 °C
유전자 정보
Human ZNF827 (zinc finger protein 827)
Gene ID: ZNF827 (152485)
ZNF827 유전자는 인간 염색체 4q31.22에 위치합니다.
제품 스펙 요약
| 항목 | 내용 |
|---|---|
| 생물학적 소스 | Rabbit |
| 항체 형태 | Affinity isolated |
| 항체 유형 | Polyclonal, primary |
| 반응 종 | Human |
| 제형 | Buffered aqueous glycerol solution |
| 포장 단위 | 25 μL |
| 적용 기술 | IF, IHC |
| 저장 온도 | −20 °C |
| 배송 상태 | Wet ice |
| 제품 라인 | Prestige Antibodies® Powered by Atlas Antibodies |
| UniProt ID | Q17R98 |
제품 이미지
🏷️Merck Sigma 상품 둘러보기
동일 브랜드의 다른 상품들을 확인해보세요

Merck Sigma
Merck Anti-RAB11FIP4 antibody produced in rabbit
895,700원

Merck Sigma
Merck Anti-CREBZF antibody produced in rabbit
895,700원

Merck Sigma
Merck Anti-ZNF827 antibody produced in rabbit
895,700원

Merck Sigma
Merck Anti-OSTF1 antibody produced in rabbit
370,530원

Merck Sigma
Merck Anti-FAM120AOS antibody produced in rabbit
895,700원
배송/결제/교환/반품 안내
배송 정보
| 기본 배송비 |
| 교환/반품 배송비 |
|
|---|---|---|---|
| 착불 배송비 |
| ||
| 교환/반품 배송비 |
| ||
결제 및 환불 안내
| 결제수단 |
|
|---|---|
| 취소 |
|
| 반품 |
|
| 환급 |
|
교환 및 반품 접수
| 교환 및 반품 접수 기한 |
|
|---|---|
| 교환 및 반품 접수가 가능한 경우 |
|
| 교환 및 반품 접수가 불가능한 경우 |
|
교환 및 반품 신청
| 교환 절차 |
|
|---|---|
| 반품 절차 |
|