
Merck Anti-LAMB4 antibody produced in rabbit
상품 한눈에 보기
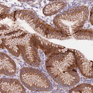
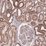
Merck의 Anti-LAMB4 항체는 토끼에서 생산된 polyclonal primary antibody로, 인간 Laminin β4 단백질을 검출합니다. Immunohistochemistry(1:50–1:200)에 적합하며, Prestige Antibodies® 라인으로 고품질의 친화성 정제 항체입니다. −20°C에서 보관합니다.
브랜드: Merck Sigma
✨AI 추천 연관 상품
AI가 분석한 이 상품과 연관된 추천 상품들을 확인해보세요
연관 상품을 찾고 있습니다...
Anti-LAMB4 antibody produced in rabbit
제품 개요
Prestige Antibodies® Powered by Atlas Antibodies
Affinity isolated antibody, buffered aqueous glycerol solution
Anti-laminin, beta 4
제품 정보
| 항목 | 내용 |
|---|---|
| 생물학적 소스 | Rabbit |
| Quality Level | 100 |
| 결합 | Unconjugated |
| 항체 형태 | Affinity isolated antibody |
| 항체 유형 | Primary antibodies |
| 클론 | Polyclonal |
| 제품 라인 | Prestige Antibodies® Powered by Atlas Antibodies |
| 형태 | Buffered aqueous glycerol solution |
| Species Reactivity | Human |
| 포장 | Antibody small pack of 25 μL |
| 적용 기술 | Immunohistochemistry (1:50–1:200) |
| 면역원 서열 | VANGVLDIHLPIPSQNLTDELVKIQKHMQLCEDYRTDENRLNEEADGAQKLLVKAKAAEKAANILLNLDKTLNQLQQAQITQGRANSTITQLTANITKIKKNVLQAENQTREMKSELELAKQRSG |
| UniProt 수납 번호 | A4D0S4 |
| 배송 상태 | Wet ice |
| 저장 온도 | −20°C |
| Gene Information | Human LAMB4(22798) |
유전자 정보
The gene encoding laminin subunit β-4 (LAMB4) is localized on human chromosome 7.
🏷️Merck Sigma 상품 둘러보기
동일 브랜드의 다른 상품들을 확인해보세요

Merck Sigma
Merck Anti-NUDT21 antibody produced in rabbit
370,530원

Merck Sigma
Merck Anti-ZNF746 antibody produced in rabbit
895,700원

Merck Sigma
Merck Anti-LAMB4 antibody produced in rabbit
951,160원

Merck Sigma
Merck Anti-ZNF425 antibody produced in rabbit
895,700원

Merck Sigma
Merck Anti-NET1 antibody produced in rabbit
895,700원
배송/결제/교환/반품 안내
배송 정보
| 기본 배송비 |
| 교환/반품 배송비 |
|
|---|---|---|---|
| 착불 배송비 |
| ||
| 교환/반품 배송비 |
| ||
결제 및 환불 안내
| 결제수단 |
|
|---|---|
| 취소 |
|
| 반품 |
|
| 환급 |
|
교환 및 반품 접수
| 교환 및 반품 접수 기한 |
|
|---|---|
| 교환 및 반품 접수가 가능한 경우 |
|
| 교환 및 반품 접수가 불가능한 경우 |
|
교환 및 반품 신청
| 교환 절차 |
|
|---|---|
| 반품 절차 |
|
문의 0
로그인 후 문의를 할 수 있습니다.