
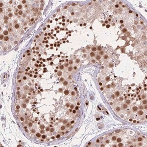
Merck Anti-RAD21L1 antibody produced in rabbit
상품 한눈에 보기
Merck의 Anti-RAD21L1 rabbit polyclonal antibody로, Atlas Antibodies 기술 기반 Prestige Antibodies® 제품입니다. Human RAD21L1 단백질에 반응하며, IHC에 1:50–1:200 희석으로 사용 가능합니다. Buffered aqueous glycerol solution 형태로 −20°C에서 보관합니다.
브랜드: Merck Sigma
✨AI 추천 연관 상품
AI가 분석한 이 상품과 연관된 추천 상품들을 확인해보세요
연관 상품을 찾고 있습니다...
Anti-RAD21L1 antibody produced in rabbit
제품 개요
Prestige Antibodies® Powered by Atlas Antibodies
Affinity isolated antibody, buffered aqueous glycerol solution
Synonyms: Anti-dJ545L17.2, Anti-RAD21-like 1 (S. pombe), Anti-RAD21L
생물학적 소스
rabbit
제품 사양
| 항목 | 내용 |
|---|---|
| Quality Level | 100 |
| 결합 | unconjugated |
| 항체 형태 | affinity isolated antibody |
| antibody product type | primary antibodies |
| 클론 | polyclonal |
| 제품 라인 | Prestige Antibodies® Powered by Atlas Antibodies |
| 형태 | buffered aqueous glycerol solution |
| species reactivity | human |
| 포장 | antibody small pack of 25 μL |
| technique(s) | immunohistochemistry: 1:50–1:200 |
| 면역원 서열 | KRGGVHTLLSTAAQDLIHAELKMLFTKCFLSSGFKLGRKMIQKESVREEVGNQNIVETSMMQEPNYQQELSKPQTWKDVIG |
| UniProt 수납 번호 | Q9H4I0 |
| 배송 상태 | wet ice |
| 저장 온도 | −20°C |
Gene Information
human RAD21L1 (642636)
RAD21-like 1 (S. pombe) recombinant protein epitope signature tag (PrEST)
제품 이미지
(이미지 없음)
🏷️Merck Sigma 상품 둘러보기
동일 브랜드의 다른 상품들을 확인해보세요

Merck Sigma
Merck Anti-HBEGF antibody produced in rabbit
370,530원

Merck Sigma
Merck Anti-OR6B1 antibody produced in rabbit
370,530원

Merck Sigma
Merck Anti-RAD21L1 antibody produced in rabbit
370,530원

Merck Sigma
Merck Anti-SLC39A7 antibody produced in rabbit
370,530원

Merck Sigma
Merck Anti-TIMMDC1 antibody produced in rabbit
370,530원
배송/결제/교환/반품 안내
배송 정보
| 기본 배송비 |
| 교환/반품 배송비 |
|
|---|---|---|---|
| 착불 배송비 |
| ||
| 교환/반품 배송비 |
| ||
결제 및 환불 안내
| 결제수단 |
|
|---|---|
| 취소 |
|
| 반품 |
|
| 환급 |
|
교환 및 반품 접수
| 교환 및 반품 접수 기한 |
|
|---|---|
| 교환 및 반품 접수가 가능한 경우 |
|
| 교환 및 반품 접수가 불가능한 경우 |
|
교환 및 반품 신청
| 교환 절차 |
|
|---|---|
| 반품 절차 |
|
문의 0
로그인 후 문의를 할 수 있습니다.