
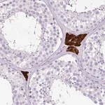
Merck Anti-PPP1R1C antibody produced in rabbit
상품 한눈에 보기
Rabbit에서 생산된 Anti-PPP1R1C polyclonal antibody로, Prestige Antibodies® Powered by Atlas Antibodies 라인 제품입니다. Human 시료에 반응하며, IHC(1:200–1:500)에 사용 가능합니다. Buffered aqueous glycerol 용액 형태로 −20°C에서 보관합니다.
브랜드: Merck Sigma
✨AI 추천 연관 상품
AI가 분석한 이 상품과 연관된 추천 상품들을 확인해보세요
연관 상품을 찾고 있습니다...
Anti-PPP1R1C antibody produced in rabbit
제품 개요
Prestige Antibodies® Powered by Atlas Antibodies, affinity isolated antibody, buffered aqueous glycerol solution
Anti-Inhibitor-1-like, Anti-protein phosphatase 1, regulatory (inhibitor) subunit 1C
제품 정보
| 항목 | 내용 |
|---|---|
| 생물학적 소스 | Rabbit |
| 결합 형태 | Unconjugated |
| 항체 형태 | Affinity isolated antibody |
| 항체 유형 | Primary antibodies |
| 클론 | Polyclonal |
| 제품 라인 | Prestige Antibodies® Powered by Atlas Antibodies |
| 형태 | Buffered aqueous glycerol solution |
| Species 반응성 | Human |
| 포장 단위 | Antibody small pack of 25 μL |
| 적용 기술 | Immunohistochemistry: 1:200–1:500 |
| 면역원 서열 | PASLVILNEHNPPEIDDKRGPNTQGELQNASPKQRKQSVYTPPTI |
| UniProt 수납 번호 | Q8WVI7 |
| 배송 상태 | Wet ice |
| 저장 온도 | −20°C |
Gene Information
Human ... PPP1R1C (151242)
Protein phosphatase 1, regulatory (inhibitor) subunit 1C recombinant protein epitope signature tag (PrEST)
🏷️Merck Sigma 상품 둘러보기
동일 브랜드의 다른 상품들을 확인해보세요

Merck Sigma
Merck Anti-UBE4A antibody produced in rabbit
370,530원

Merck Sigma
Merck Anti-OR10A7 antibody produced in rabbit
370,530원

Merck Sigma
Merck Anti-PPP1R1C antibody produced in rabbit
370,530원

Merck Sigma
Merck Anti-MTTP antibody produced in rabbit
370,530원

Merck Sigma
Merck Anti-NHSL2 antibody produced in rabbit
370,530원
배송/결제/교환/반품 안내
배송 정보
| 기본 배송비 |
| 교환/반품 배송비 |
|
|---|---|---|---|
| 착불 배송비 |
| ||
| 교환/반품 배송비 |
| ||
결제 및 환불 안내
| 결제수단 |
|
|---|---|
| 취소 |
|
| 반품 |
|
| 환급 |
|
교환 및 반품 접수
| 교환 및 반품 접수 기한 |
|
|---|---|
| 교환 및 반품 접수가 가능한 경우 |
|
| 교환 및 반품 접수가 불가능한 경우 |
|
교환 및 반품 신청
| 교환 절차 |
|
|---|---|
| 반품 절차 |
|
문의 0
로그인 후 문의를 할 수 있습니다.