
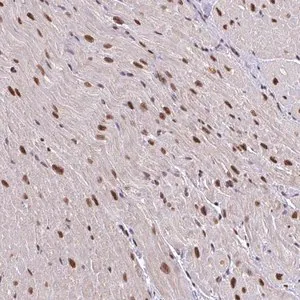
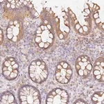
Merck Anti-ABCA9 antibody produced in rabbit
상품 한눈에 보기
Merck의 Anti-ABCA9 rabbit antibody는 인간 ABCA9 단백질을 인식하는 polyclonal 1차 항체입니다. Prestige Antibodies® 라인 제품으로, affinity isolated 형태이며 immunoblotting 및 immunohistochemistry에 적합합니다. −20°C에서 보관하며 wet ice 상태로 배송됩니다.
브랜드: Merck Sigma
✨AI 추천 연관 상품
AI가 분석한 이 상품과 연관된 추천 상품들을 확인해보세요
연관 상품을 찾고 있습니다...
Anti-ABCA9 antibody produced in rabbit
제품 개요
Prestige Antibodies® Powered by Atlas Antibodies 시리즈의 affinity isolated 항체로, buffered aqueous glycerol solution 형태로 제공됩니다.
ATP-binding cassette, sub-family A (ABC1), member 9 (Anti-EST640918)을 인식합니다.
생물학적 정보
- Source: Rabbit
- Clone: Polyclonal
- Conjugation: Unconjugated
- Antibody Type: Primary antibody
- Product Line: Prestige Antibodies® Powered by Atlas Antibodies
- Form: Buffered aqueous glycerol solution
- Species Reactivity: Human
기술 및 응용
- Immunoblotting: 0.04–0.4 μg/mL
- Immunohistochemistry: 1:2500–1:5000
포장 및 보관
- Packaging: 25 μL small pack
- Shipping Condition: Wet ice
- Storage Temperature: −20°C
품질 및 유전자 정보
| 항목 | 내용 |
|---|---|
| Quality Level | 100 |
| Immunogen Sequence | FWFQHGRANHVVLENETDSDPTPNDCFEP |
| UniProt Accession | Q8IUA7 |
| Gene Information | human ABCA9(10350) |
| Protein Description | ATP-binding cassette, sub-family A (ABC1), member 9 recombinant protein epitope signature tag (PrEST) |
🏷️Merck Sigma 상품 둘러보기
동일 브랜드의 다른 상품들을 확인해보세요

Merck Sigma
Merck Anti-DENND5A antibody produced in rabbit
370,530원

Merck Sigma
Merck Anti-ZNF121 antibody produced in rabbit
370,530원

Merck Sigma
Merck Anti-ABCA9 antibody produced in rabbit
370,530원

Merck Sigma
Merck Anti-SERTM1 antibody produced in rabbit
370,530원

Merck Sigma
Merck Anti-B3GALT5 antibody produced in rabbit
370,530원
배송/결제/교환/반품 안내
배송 정보
| 기본 배송비 |
| 교환/반품 배송비 |
|
|---|---|---|---|
| 착불 배송비 |
| ||
| 교환/반품 배송비 |
| ||
결제 및 환불 안내
| 결제수단 |
|
|---|---|
| 취소 |
|
| 반품 |
|
| 환급 |
|
교환 및 반품 접수
| 교환 및 반품 접수 기한 |
|
|---|---|
| 교환 및 반품 접수가 가능한 경우 |
|
| 교환 및 반품 접수가 불가능한 경우 |
|
교환 및 반품 신청
| 교환 절차 |
|
|---|---|
| 반품 절차 |
|
문의 0
로그인 후 문의를 할 수 있습니다.