
Merck Anti-B3GALT5 antibody produced in rabbit
토끼에서 생산된 Anti-B3GALT5 항체로, 인간 B3GALT5 단백질을 인식하는 polyclonal primary antibody입니다. Prestige Antibodies® 시리즈로 높은 특이성과 재현성을 제공합니다. 면역조직화학(IHC)에 적합하며, −20°C에서 보관합니다.
✨AI 추천 연관 상품
AI가 분석한 이 상품과 연관된 추천 상품들을 확인해보세요
연관 상품을 찾고 있습니다...
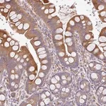
Anti-B3GALT5 antibody produced in rabbit
제품 개요
Prestige Antibodies® Powered by Atlas Antibodies 시리즈의 항체로, 토끼에서 생산된 affinity isolated polyclonal antibody입니다. Buffered aqueous glycerol solution 형태로 제공되며, 인간 B3GALT5 단백질을 인식합니다.
Synonyms
Anti-UDP-Gal:betaGlcNAc beta 1,3-galactosyltransferase, polypeptide 5
Anti-beta3Gal-T5
Anti-B3T5
Anti-B3GalT-V
Anti-GLCT5
제품 사양
| 항목 | 내용 |
|---|---|
| Biological source | Rabbit |
| Quality level | 100 |
| Conjugate | Unconjugated |
| Antibody form | Affinity isolated antibody |
| Antibody type | Primary antibodies |
| Clonality | Polyclonal |
| Product line | Prestige Antibodies® Powered by Atlas Antibodies |
| Form | Buffered aqueous glycerol solution |
| Species reactivity | Human |
| Packaging | 25 μL (small pack) |
| Technique(s) | Immunohistochemistry (IHC): 1:50–1:200 |
| Immunogen sequence | GLCLERLNIRLEELHSQPTFFPGGLRFSVCLFRRIVACHFIKPRTLLDYWQALENSRGEDCPPV |
| UniProt accession no. | Q9Y2C3 |
| Shipping conditions | Wet ice |
| Storage temperature | −20°C |
Gene Information
Gene: B3GALT5 (human, ID: 10317)
Protein: UDP-Gal:betaGlcNAc beta 1,3-galactosyltransferase, polypeptide 5
Epitope tag: Recombinant protein epitope signature tag (PrEST)
🏷️Merck Sigma 상품 둘러보기
동일 브랜드의 다른 상품들을 확인해보세요

Merck Sigma
Merck Anti-VTI1A antibody produced in rabbit
370,530원

Merck Sigma
Merck Anti-ZNF266 antibody produced in rabbit
370,530원

Merck Sigma
Merck Anti-B3GALT5 antibody produced in rabbit
370,530원

Merck Sigma
Merck Anti-ZBTB6 antibody produced in rabbit
370,530원

Merck Sigma
Merck Anti-FAM46C antibody produced in rabbit
370,530원
배송/결제/교환/반품 안내
배송 정보
| 기본 배송비 |
| 교환/반품 배송비 |
|
|---|---|---|---|
| 착불 배송비 |
| ||
| 교환/반품 배송비 |
| ||
결제 및 환불 안내
| 결제수단 |
|
|---|---|
| 취소 |
|
| 반품 |
|
| 환급 |
|
교환 및 반품 접수
| 교환 및 반품 접수 기한 |
|
|---|---|
| 교환 및 반품 접수가 가능한 경우 |
|
| 교환 및 반품 접수가 불가능한 경우 |
|
교환 및 반품 신청
| 교환 절차 |
|
|---|---|
| 반품 절차 |
|