
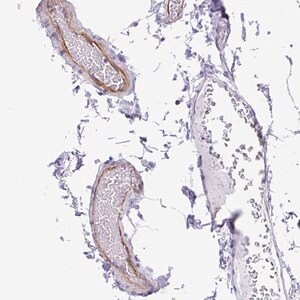
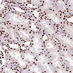
Merck Anti-EML5 antibody produced in rabbit
상품 한눈에 보기
Rabbit에서 생산된 Anti-EML5 항체로, Atlas Antibodies 기술 기반 Prestige Antibodies® 제품입니다. EML5 단백질을 표적으로 하는 친화성 정제 항체이며, buffered aqueous glycerol 용액 형태로 제공됩니다. 연구용 단백질 검출에 적합합니다.
브랜드: Merck Sigma
✨AI 추천 연관 상품
AI가 분석한 이 상품과 연관된 추천 상품들을 확인해보세요
연관 상품을 찾고 있습니다...
Anti-EML5 antibody produced in rabbit
Prestige Antibodies® Powered by Atlas Antibodies
Affinity isolated antibody, buffered aqueous glycerol solution.
제품 설명
- Anti-EMAP-2
- Anti-echinoderm microtubule associated protein like 5
- Anti-HuEMAP-2
echinoderm microtubule associated protein like 5 recombinant protein epitope signature tag (PrEST).
주요 정보
| 항목 | 내용 |
|---|---|
| 제품명 | Anti-EML5 antibody produced in rabbit |
| 브랜드 | Prestige Antibodies® Powered by Atlas Antibodies |
| 제조사 | Merck Sigma |
| 항체 유형 | Affinity isolated antibody |
| 용액 형태 | Buffered aqueous glycerol solution |
| 타깃 단백질 | Echinoderm microtubule associated protein like 5 (EML5) |
| 호스트 | Rabbit |
| 관련 항체명 | Anti-EMAP-2, Anti-HuEMAP-2 |
🏷️Merck Sigma 상품 둘러보기
동일 브랜드의 다른 상품들을 확인해보세요

Merck Sigma
Merck Anti-TMEM184C antibody produced in rabbit
370,530원

Merck Sigma
Merck Anti-GABRG3 antibody produced in rabbit
370,530원

Merck Sigma
Merck Anti-EML5 antibody produced in rabbit
370,530원

Merck Sigma
Merck Anti-CARD16 antibody produced in rabbit
370,530원

Merck Sigma
Merck Anti-EMC10 antibody produced in rabbit
370,530원
배송/결제/교환/반품 안내
배송 정보
| 기본 배송비 |
| 교환/반품 배송비 |
|
|---|---|---|---|
| 착불 배송비 |
| ||
| 교환/반품 배송비 |
| ||
결제 및 환불 안내
| 결제수단 |
|
|---|---|
| 취소 |
|
| 반품 |
|
| 환급 |
|
교환 및 반품 접수
| 교환 및 반품 접수 기한 |
|
|---|---|
| 교환 및 반품 접수가 가능한 경우 |
|
| 교환 및 반품 접수가 불가능한 경우 |
|
교환 및 반품 신청
| 교환 절차 |
|
|---|---|
| 반품 절차 |
|
문의 0
로그인 후 문의를 할 수 있습니다.