
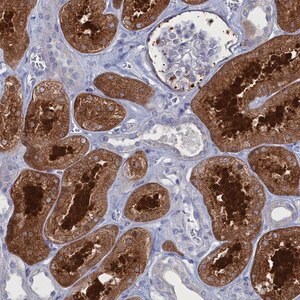
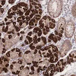
Merck Anti-CCDC149 antibody produced in rabbit
상품 한눈에 보기
Merck의 Anti-CCDC149 rabbit polyclonal antibody로, 인간 CCDC149 단백질을 특이적으로 인식합니다. Prestige Antibodies® 제품으로 높은 품질의 affinity purified 항체이며, immunoblotting, immunofluorescence, immunohistochemistry에 적합합니다. −20°C 보관.
브랜드: Merck Sigma
✨AI 추천 연관 상품
AI가 분석한 이 상품과 연관된 추천 상품들을 확인해보세요
연관 상품을 찾고 있습니다...
Anti-CCDC149 antibody produced in rabbit
제품 개요
Prestige Antibodies® Powered by Atlas Antibodies
Affinity isolated antibody, buffered aqueous glycerol solution
Anti-coiled-coil domain containing 149 (Anti-DKFZp761B107)
생물학적 정보
- Source: Rabbit
- Clonality: Polyclonal
- Conjugation: Unconjugated
- Antibody type: Primary antibody
- Product line: Prestige Antibodies® Powered by Atlas Antibodies
- Form: Buffered aqueous glycerol solution
- Species reactivity: Human
포장
- Small pack, 25 μL
기술 적용
| Technique | Recommended concentration |
|---|---|
| Immunoblotting | 0.04–0.4 μg/mL |
| Immunofluorescence | 0.25–2 μg/mL |
| Immunohistochemistry | 1:200–1:500 |
면역원 서열
RHQSLKKKYRELIDGDPSLPPEKRKQANLAQLLRDSQDRNKHLGEEIKELQQRLGEVQGDNKLLRMTIAKQRLGDEAIGVRHFAAHER
UniProt 수납 번호
품질 등급
100
배송 및 보관
- Shipping condition: Wet ice
- Storage temperature: −20°C
Gene Information
Human gene: CCDC149 (91050)
Coiled-coil domain containing 149 recombinant protein epitope signature tag (PrEST)
🏷️Merck Sigma 상품 둘러보기
동일 브랜드의 다른 상품들을 확인해보세요

Merck Sigma
Merck Anti-SLC1A6 antibody produced in rabbit
370,530원

Merck Sigma
Merck Anti-ABI3BP antibody produced in rabbit
895,700원

Merck Sigma
Merck Anti-CCDC149 antibody produced in rabbit
895,700원

Merck Sigma
Merck Anti-EDC3 antibody produced in rabbit
895,700원

Merck Sigma
Merck Anti-HGF antibody produced in rabbit
370,530원
배송/결제/교환/반품 안내
배송 정보
| 기본 배송비 |
| 교환/반품 배송비 |
|
|---|---|---|---|
| 착불 배송비 |
| ||
| 교환/반품 배송비 |
| ||
결제 및 환불 안내
| 결제수단 |
|
|---|---|
| 취소 |
|
| 반품 |
|
| 환급 |
|
교환 및 반품 접수
| 교환 및 반품 접수 기한 |
|
|---|---|
| 교환 및 반품 접수가 가능한 경우 |
|
| 교환 및 반품 접수가 불가능한 경우 |
|
교환 및 반품 신청
| 교환 절차 |
|
|---|---|
| 반품 절차 |
|
문의 0
로그인 후 문의를 할 수 있습니다.