
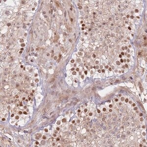
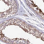
Merck Anti-ERICH6B antibody produced in rabbit
상품 한눈에 보기
Merck의 Prestige Antibodies® 시리즈로 제작된 Anti-ERICH6B 항체입니다. 토끼에서 생산된 친화도 정제 항체로, 버퍼 처리된 글리세롤 수용액 형태입니다. FAM194B 및 FLJ32682 단백질을 인식하며, 글루탐산 풍부 단백질 6B 연구에 적합합니다.
브랜드: Merck Sigma
✨AI 추천 연관 상품
AI가 분석한 이 상품과 연관된 추천 상품들을 확인해보세요
연관 상품을 찾고 있습니다...
Anti-ERICH6B antibody produced in rabbit
Prestige Antibodies® Powered by Atlas Antibodies
Affinity isolated antibody, buffered aqueous glycerol solution.
제품 개요
- 항원: ERICH6B (Glutamate-rich 6B)
- 관련 타겟: FAM194B, FLJ32682
- 항체 종류: Rabbit polyclonal antibody
- 브랜드: Prestige Antibodies® (Atlas Antibodies)
- 제조사: Merck Sigma
제품 사양
| 항목 | 내용 |
|---|---|
| 제품명 | Anti-ERICH6B antibody produced in rabbit |
| 호스트 | Rabbit |
| 형태 | Buffered aqueous glycerol solution |
| 정제 방식 | Affinity isolated |
| 관련 항원 | FAM194B, FLJ32682 |
| 브랜드 | Prestige Antibodies® Powered by Atlas Antibodies |
| 공급업체 | Merck Sigma |
🏷️Merck Sigma 상품 둘러보기
동일 브랜드의 다른 상품들을 확인해보세요

Merck Sigma
Merck Anti-OSBP antibody produced in rabbit
895,700원

Merck Sigma
Merck Anti-BORCS5 antibody produced in rabbit
895,600원

Merck Sigma
Merck Anti-ERICH6B antibody produced in rabbit
895,700원

Merck Sigma
Merck Anti-LGI4 antibody produced in rabbit
895,700원

Merck Sigma
Merck Anti-KIAA1211 antibody produced in rabbit
895,700원
배송/결제/교환/반품 안내
배송 정보
| 기본 배송비 |
| 교환/반품 배송비 |
|
|---|---|---|---|
| 착불 배송비 |
| ||
| 교환/반품 배송비 |
| ||
결제 및 환불 안내
| 결제수단 |
|
|---|---|
| 취소 |
|
| 반품 |
|
| 환급 |
|
교환 및 반품 접수
| 교환 및 반품 접수 기한 |
|
|---|---|
| 교환 및 반품 접수가 가능한 경우 |
|
| 교환 및 반품 접수가 불가능한 경우 |
|
교환 및 반품 신청
| 교환 절차 |
|
|---|---|
| 반품 절차 |
|
문의 0
로그인 후 문의를 할 수 있습니다.