
Merck Anti-CHD9 antibody produced in rabbit
상품 한눈에 보기
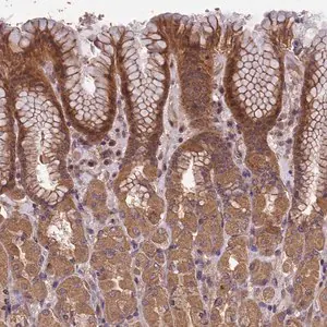
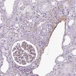
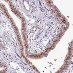
토끼에서 생산된 CHD9 단백질에 대한 폴리클로날 항체로, 인간 시료에 반응합니다. Prestige Antibodies® 시리즈의 affinity isolated 항체이며, 면역조직화학(IHC)에 1:200–1:500 희석 비율로 사용 가능합니다. −20°C에서 보관하며 wet ice 상태로 배송됩니다.
브랜드: Merck Sigma
✨AI 추천 연관 상품
AI가 분석한 이 상품과 연관된 추천 상품들을 확인해보세요
연관 상품을 찾고 있습니다...
Anti-CHD9 antibody produced in rabbit
Prestige Antibodies® Powered by Atlas Antibodies
Affinity isolated antibody, buffered aqueous glycerol solution
Synonyms
Anti-KIAA0308, Anti-chromodomain helicase DNA binding protein 9, Anti-BC022889, Anti-FLJ12178
제품 정보
| 항목 | 내용 |
|---|---|
| 생물학적 소스 | Rabbit |
| Quality Level | 100 |
| 결합 | Unconjugated |
| 항체 형태 | Affinity isolated antibody |
| Antibody Product Type | Primary antibodies |
| 클론 | Polyclonal |
| 제품 라인 | Prestige Antibodies® Powered by Atlas Antibodies |
| 형태(Form) | Buffered aqueous glycerol solution |
| Species Reactivity | Human |
| 포장 | Antibody small pack of 25 μL |
| 기술(Technique) | Immunohistochemistry: 1:200–1:500 |
| 면역원 서열 (Immunogen sequence) | HQVESQTEPFTGLDPEDLLQEGLLPHFDESTFGQDNSSHILDHDLDRQFTSHLVTRPSDMAQTQLQSQARSWHSSFSNHQHLHDRNHLCLQRQPPSSKKSDGSGTYTKLQNTQV |
| UniProt 수납 번호 | Q3L8U1 |
| 배송 상태 | Wet ice |
| 저장 온도 | −20°C |
| Gene Information | Human CHD9 (80205) |
| 설명 | Chromodomain helicase DNA binding protein 9 recombinant protein epitope signature tag (PrEST) |
제품 이미지
🏷️Merck Sigma 상품 둘러보기
동일 브랜드의 다른 상품들을 확인해보세요

Merck Sigma
Merck Anti-ATP10A antibody produced in rabbit
895,700원

Merck Sigma
Merck Anti-MRPL54 antibody produced in rabbit
895,600원

Merck Sigma
Merck Anti-CHD9 antibody produced in rabbit
370,530원

Merck Sigma
Merck Anti-SIPA1L3 antibody produced in rabbit
895,700원

Merck Sigma
Merck Anti-OCEL1 antibody produced in rabbit
895,700원
배송/결제/교환/반품 안내
배송 정보
| 기본 배송비 |
| 교환/반품 배송비 |
|
|---|---|---|---|
| 착불 배송비 |
| ||
| 교환/반품 배송비 |
| ||
결제 및 환불 안내
| 결제수단 |
|
|---|---|
| 취소 |
|
| 반품 |
|
| 환급 |
|
교환 및 반품 접수
| 교환 및 반품 접수 기한 |
|
|---|---|
| 교환 및 반품 접수가 가능한 경우 |
|
| 교환 및 반품 접수가 불가능한 경우 |
|
교환 및 반품 신청
| 교환 절차 |
|
|---|---|
| 반품 절차 |
|
문의 0
로그인 후 문의를 할 수 있습니다.