
Merck Anti-PIGU antibody produced in rabbit
상품 한눈에 보기
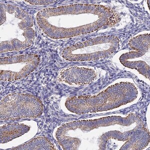
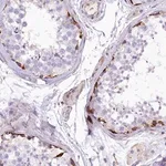
토끼에서 생산된 Anti-PIGU 항체로, 인간 PIGU 단백질을 인식하는 polyclonal 항체입니다. Prestige Antibodies® 제품군으로 면역조직화학(IHC)에 적합하며, affinity isolation 방식으로 정제되었습니다. −20°C에서 보관하며 wet ice 상태로 배송됩니다.
브랜드: Merck Sigma
✨AI 추천 연관 상품
AI가 분석한 이 상품과 연관된 추천 상품들을 확인해보세요
연관 상품을 찾고 있습니다...
Anti-PIGU antibody produced in rabbit
제품 개요
Prestige Antibodies® Powered by Atlas Antibodies 시리즈의 토끼 유래 항체로, phosphatidylinositol glycan anchor biosynthesis, class U (PIGU) 단백질을 인식합니다. Affinity isolation 방식으로 정제된 buffered aqueous glycerol solution 형태의 1차 항체입니다.
주요 특징
- Anti-CDC91L1, Anti-GAB1, Anti-phosphatidylinositol glycan anchor biosynthesis, class U, Anti-bA346K17.2
- Polyclonal 형태의 unconjugated 항체
- 인간 단백질에 반응
제품 사양
| 항목 | 내용 |
|---|---|
| Biological Source | Rabbit |
| Quality Level | 100 |
| Conjugate | Unconjugated |
| Antibody Form | Affinity isolated antibody |
| Antibody Type | Primary antibody |
| Clone | Polyclonal |
| Product Line | Prestige Antibodies® Powered by Atlas Antibodies |
| Form | Buffered aqueous glycerol solution |
| Species Reactivity | Human |
| Packaging | Antibody small pack of 25 μL |
| Application (Technique) | Immunohistochemistry (IHC): 1:50–1:200 |
| Immunogen Sequence | KLLLELDQYAPDVAELIRTPMEMRYIPLKVALFYLLNPYTILSCVAKSTCAINN |
| UniProt Accession No. | Q9H490 |
| Shipping Condition | Wet ice |
| Storage Temperature | −20 °C |
유전자 정보
Human PIGU (Gene ID: 128869)
Phosphatidylinositol glycan anchor biosynthesis, class U recombinant protein epitope signature tag (PrEST)
🏷️Merck Sigma 상품 둘러보기
동일 브랜드의 다른 상품들을 확인해보세요

Merck Sigma
Merck Anti-CMTR2 antibody produced in rabbit
895,700원

Merck Sigma
Merck Anti-TBC1D2B antibody produced in rabbit
895,700원

Merck Sigma
Merck Anti-PIGU antibody produced in rabbit
895,700원

Merck Sigma
Merck Anti-SUSD5 antibody produced in rabbit
370,530원

Merck Sigma
Merck Anti-FAM78B antibody produced in rabbit
370,530원
배송/결제/교환/반품 안내
배송 정보
| 기본 배송비 |
| 교환/반품 배송비 |
|
|---|---|---|---|
| 착불 배송비 |
| ||
| 교환/반품 배송비 |
| ||
결제 및 환불 안내
| 결제수단 |
|
|---|---|
| 취소 |
|
| 반품 |
|
| 환급 |
|
교환 및 반품 접수
| 교환 및 반품 접수 기한 |
|
|---|---|
| 교환 및 반품 접수가 가능한 경우 |
|
| 교환 및 반품 접수가 불가능한 경우 |
|
교환 및 반품 신청
| 교환 절차 |
|
|---|---|
| 반품 절차 |
|
문의 0
로그인 후 문의를 할 수 있습니다.