
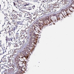
Merck Anti-OR2D3 antibody produced in rabbit
상품 한눈에 보기
토끼에서 생산된 Anti-OR2D3 항체로, 후각 수용체 패밀리 2D3 단백질을 특이적으로 인식합니다. Atlas Antibodies의 Prestige Antibodies® 기술로 제작되었으며, 친화도 정제된 글리세롤 수용액 형태입니다. 연구용 단백질 검출 및 분석에 적합합니다.
브랜드: Merck Sigma
✨AI 추천 연관 상품
AI가 분석한 이 상품과 연관된 추천 상품들을 확인해보세요
연관 상품을 찾고 있습니다...
Anti-OR2D3 antibody produced in rabbit
제품 개요
Prestige Antibodies® Powered by Atlas Antibodies 시리즈로, 토끼에서 생산된 Anti-OR2D3 항체입니다.
친화도 정제(affinity isolated)된 항체로, 완충된 수성 글리세롤 용액(buffered aqueous glycerol solution) 형태로 제공됩니다.
항원 정보
- 항원명: Olfactory receptor, family 2, subfamily D, member 3 (OR2D3)
- 항원 형태: Recombinant protein epitope signature tag (PrEST)
제품 특징
- Atlas Antibodies의 Prestige Antibodies® 기술 적용
- 높은 특이성과 재현성을 가진 항체
- 단백질 발현 및 기능 연구에 적합
제품 사양
| 항목 | 내용 |
|---|---|
| 제품명 | Anti-OR2D3 antibody produced in rabbit |
| 브랜드 | Prestige Antibodies® Powered by Atlas Antibodies |
| 호스트 | Rabbit |
| 정제 방식 | Affinity isolated |
| 형태 | Buffered aqueous glycerol solution |
| 표적 단백질 | Olfactory receptor, family 2, subfamily D, member 3 (OR2D3) |
| 항원 | Recombinant protein epitope signature tag (PrEST) |
🏷️Merck Sigma 상품 둘러보기
동일 브랜드의 다른 상품들을 확인해보세요

Merck Sigma
Merck Anti-MAP10 antibody produced in rabbit
370,530원

Merck Sigma
Merck Anti-DIP2A antibody produced in rabbit
370,530원

Merck Sigma
Merck Anti-OR2D3 antibody produced in rabbit
370,530원

Merck Sigma
Merck Anti-OSR2 antibody produced in rabbit
370,530원

Merck Sigma
Merck Anti-SCNM1 antibody produced in rabbit
370,530원
배송/결제/교환/반품 안내
배송 정보
| 기본 배송비 |
| 교환/반품 배송비 |
|
|---|---|---|---|
| 착불 배송비 |
| ||
| 교환/반품 배송비 |
| ||
결제 및 환불 안내
| 결제수단 |
|
|---|---|
| 취소 |
|
| 반품 |
|
| 환급 |
|
교환 및 반품 접수
| 교환 및 반품 접수 기한 |
|
|---|---|
| 교환 및 반품 접수가 가능한 경우 |
|
| 교환 및 반품 접수가 불가능한 경우 |
|
교환 및 반품 신청
| 교환 절차 |
|
|---|---|
| 반품 절차 |
|
문의 0
로그인 후 문의를 할 수 있습니다.