
Merck Anti-EYA3 antibody produced in rabbit
상품 한눈에 보기
EYA3 단백질을 인식하는 토끼 유래 항체로, Atlas Antibodies 기술을 적용한 Prestige Antibodies® 제품입니다. 높은 특이성과 재현성을 제공하며, 단백질 발현 연구 및 신호전달 분석에 적합합니다.
브랜드: Merck Sigma
✨AI 추천 연관 상품
AI가 분석한 이 상품과 연관된 추천 상품들을 확인해보세요
연관 상품을 찾고 있습니다...
Anti-EYA3 antibody produced in rabbit
Prestige Antibodies® Powered by Atlas Antibodies
Affinity isolated antibody, buffered aqueous glycerol solution
Target Information
- Anti-eyes absent homolog 3 (Drosophila)
- Anti-DKFZp686C132
- EYA transcriptional coactivator and phosphatase 3
제품 개요
본 항체는 EYA3 단백질을 특이적으로 인식하는 토끼 유래 항체로, Atlas Antibodies 기술을 기반으로 제작된 Prestige Antibodies® 시리즈입니다. 높은 특이성과 재현성을 갖추어 단백질 발현 및 기능 연구에 활용할 수 있습니다.
제품 스펙
| 항목 | 내용 |
|---|---|
| 제품명 | Anti-EYA3 antibody produced in rabbit |
| 공급업체 | Merck Sigma |
| 항체 유형 | Rabbit polyclonal antibody |
| 대상 단백질 | EYA3 (eyes absent homolog 3, Drosophila) |
| 포맷 | Buffered aqueous glycerol solution |
| 브랜드 | Prestige Antibodies® Powered by Atlas Antibodies |
| 용도 | 단백질 발현 분석, 신호전달 연구 등 |
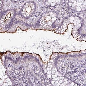
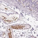
제품 이미지
(이미지 없음)
🏷️Merck Sigma 상품 둘러보기
동일 브랜드의 다른 상품들을 확인해보세요

Merck Sigma
Merck Anti-SCNM1 antibody produced in rabbit
370,530원

Merck Sigma
Merck Anti-C4orf48 antibody produced in rabbit
370,530원

Merck Sigma
Merck Anti-EYA3 antibody produced in rabbit
370,530원

Merck Sigma
Merck Anti-KLF16 antibody produced in rabbit
370,530원

Merck Sigma
Merck Anti-USHBP1 antibody produced in rabbit
370,530원
배송/결제/교환/반품 안내
배송 정보
| 기본 배송비 |
| 교환/반품 배송비 |
|
|---|---|---|---|
| 착불 배송비 |
| ||
| 교환/반품 배송비 |
| ||
결제 및 환불 안내
| 결제수단 |
|
|---|---|
| 취소 |
|
| 반품 |
|
| 환급 |
|
교환 및 반품 접수
| 교환 및 반품 접수 기한 |
|
|---|---|
| 교환 및 반품 접수가 가능한 경우 |
|
| 교환 및 반품 접수가 불가능한 경우 |
|
교환 및 반품 신청
| 교환 절차 |
|
|---|---|
| 반품 절차 |
|
문의 0
로그인 후 문의를 할 수 있습니다.