
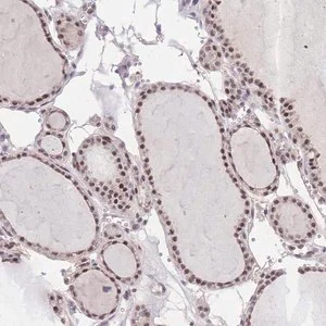
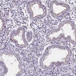
Merck Anti-PUS10 antibody produced in rabbit
토끼에서 생산된 Anti-PUS10 항체로, 인체 PUS10 단백질을 인식하는 polyclonal 1차 항체입니다. Atlas Antibodies의 Prestige Antibodies® 제품으로, Western blot, IF, IHC에 적합합니다. −20°C에서 보관하며, buffered glycerol 용액 형태로 제공됩니다.
✨AI 추천 연관 상품
AI가 분석한 이 상품과 연관된 추천 상품들을 확인해보세요
연관 상품을 찾고 있습니다...
Anti-PUS10 antibody produced in rabbit
제품 개요
Prestige Antibodies® Powered by Atlas Antibodies 시리즈로, rabbit에서 생산된 affinity isolated 항체입니다. Buffered aqueous glycerol 용액 형태로 제공되며, human PUS10 단백질을 인식합니다.
Synonyms
- Anti-CCDC139
- Anti-pseudouridylate synthase 10
- Anti-FLJ32312
제품 사양
| 항목 | 내용 |
|---|---|
| Biological Source | Rabbit |
| Quality Level | 100 |
| Conjugate | Unconjugated |
| Antibody Type | Primary antibodies |
| Clone | Polyclonal |
| Product Line | Prestige Antibodies® Powered by Atlas Antibodies |
| Form | Buffered aqueous glycerol solution |
| Species Reactivity | Human |
| Packaging | 25 μL (small pack) |
| Storage Temperature | −20°C |
| Shipping Conditions | Wet ice |
실험 적용
| Technique | Working Concentration |
|---|---|
| Immunoblotting (WB) | 0.04–0.4 μg/mL |
| Immunofluorescence (IF) | 0.25–2 μg/mL |
| Immunohistochemistry (IHC) | 1:50–1:200 |
면역원 정보
Immunogen Sequence:
NSPKAVCAVLEIECAHGAVFVAGRYNKYSRNLPQTPWIIDGERKLESSVEELISDHLLAVFKAESFNFSSSGREDVDVRTLGNGRPFAIELVNPHRVHFTSQEIKE
UniProt Accession: Q3MIT2
유전자 정보
Gene: PUS10 (150962)
Protein: Pseudouridylate synthase 10 recombinant protein epitope signature tag (PrEST)
🏷️Merck Sigma 상품 둘러보기
동일 브랜드의 다른 상품들을 확인해보세요

Merck Sigma
Merck Anti-RGS9BP antibody produced in rabbit
370,530원

Merck Sigma
Merck Anti-OR5A2 antibody produced in rabbit
370,530원

Merck Sigma
Merck Anti-PUS10 antibody produced in rabbit
370,530원

Merck Sigma
Merck Anti-COX18 antibody produced in rabbit
370,530원

Merck Sigma
Merck Anti-MRPS6 antibody produced in rabbit
370,530원
배송/결제/교환/반품 안내
배송 정보
| 기본 배송비 |
| 교환/반품 배송비 |
|
|---|---|---|---|
| 착불 배송비 |
| ||
| 교환/반품 배송비 |
| ||
결제 및 환불 안내
| 결제수단 |
|
|---|---|
| 취소 |
|
| 반품 |
|
| 환급 |
|
교환 및 반품 접수
| 교환 및 반품 접수 기한 |
|
|---|---|
| 교환 및 반품 접수가 가능한 경우 |
|
| 교환 및 반품 접수가 불가능한 경우 |
|
교환 및 반품 신청
| 교환 절차 |
|
|---|---|
| 반품 절차 |
|