
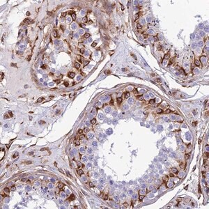
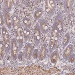
Merck Anti-FBXL20 antibody produced in rabbit
상품 한눈에 보기
Rabbit에서 생산된 Anti-FBXL20 항체로, 인간 FBXL20 단백질을 특이적으로 인식하는 polyclonal primary antibody입니다. Prestige Antibodies® Powered by Atlas Antibodies 제품이며, immunoblotting 및 immunohistochemistry에 적합합니다. −20°C에서 보관합니다.
브랜드: Merck Sigma
✨AI 추천 연관 상품
AI가 분석한 이 상품과 연관된 추천 상품들을 확인해보세요
연관 상품을 찾고 있습니다...
Anti-FBXL20 antibody produced in rabbit
제품 개요
Prestige Antibodies® Powered by Atlas Antibodies 시리즈의 affinity isolated 항체로, buffered aqueous glycerol solution 형태로 제공됩니다.
본 항체는 Anti-MGC15482, Anti-F-box and leucine-rich repeat protein 20, Anti-Fbl2, Anti-Fbl20로도 알려져 있습니다.
생물학적 정보
- 생물학적 소스: rabbit
- 클론: polyclonal
- 항체 형태: affinity isolated antibody
- 결합: unconjugated
- 항체 유형: primary antibodies
- 제품 라인: Prestige Antibodies® Powered by Atlas Antibodies
- 형태: buffered aqueous glycerol solution
- Species reactivity: human
- 포장: antibody small pack of 25 μL
실험 적용
- Immunoblotting: 0.04–0.4 μg/mL
- Immunohistochemistry: 1:200–1:500
면역원 서열
MRRDVNGVTKSRFEMFSNSDEAVINK품질 및 보관
| 항목 | 내용 |
|---|---|
| Quality Level | 100 |
| 배송 상태 | wet ice |
| 저장 온도 | −20°C |
유전자 정보
- Gene: FBXL20 (human)
- UniProt 번호: Q96IG2
- Epitope: F-box and leucine-rich repeat protein 20 recombinant protein epitope signature tag (PrEST)
🏷️Merck Sigma 상품 둘러보기
동일 브랜드의 다른 상품들을 확인해보세요

Merck Sigma
Merck Anti-MPND antibody produced in rabbit
370,530원

Merck Sigma
Merck Anti-ABCC10 antibody produced in rabbit
370,530원

Merck Sigma
Merck Anti-FBXL20 antibody produced in rabbit
370,530원

Merck Sigma
Merck Anti-BORCS5 antibody produced in rabbit
895,700원

Merck Sigma
Merck Anti-SRA1 antibody produced in rabbit
370,530원
배송/결제/교환/반품 안내
배송 정보
| 기본 배송비 |
| 교환/반품 배송비 |
|
|---|---|---|---|
| 착불 배송비 |
| ||
| 교환/반품 배송비 |
| ||
결제 및 환불 안내
| 결제수단 |
|
|---|---|
| 취소 |
|
| 반품 |
|
| 환급 |
|
교환 및 반품 접수
| 교환 및 반품 접수 기한 |
|
|---|---|
| 교환 및 반품 접수가 가능한 경우 |
|
| 교환 및 반품 접수가 불가능한 경우 |
|
교환 및 반품 신청
| 교환 절차 |
|
|---|---|
| 반품 절차 |
|
문의 0
로그인 후 문의를 할 수 있습니다.