
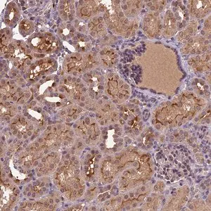
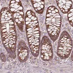
Merck Anti-ATP10A antibody produced in rabbit
토끼에서 생산된 Anti-ATP10A 폴리클로날 항체로, 인간 ATP10A 단백질에 특이적입니다. Prestige Antibodies® 라인 제품으로 면역조직화학(IHC)에 적합하며, −20°C에서 보관합니다. 비결합형, glycerol 완충 용액 형태로 제공됩니다.
✨AI 추천 연관 상품
AI가 분석한 이 상품과 연관된 추천 상품들을 확인해보세요
연관 상품을 찾고 있습니다...
Anti-ATP10A antibody produced in rabbit
제품 개요
Prestige Antibodies® Powered by Atlas Antibodies 시리즈의 친화력 분리 항체로, buffered aqueous glycerol solution 형태로 제공됩니다.
이 항체는 ATP10A (ATPase, class V, type 10A) 단백질에 특이적으로 반응합니다.
동의어:
Anti-ATPVC, Anti-ATPase class V type 10A, Anti-ATPVA, Anti-ATP10C, Anti-KIAA0566
생물학적 소스
rabbit
품질 등급
100 (Merck M-Clarity Program 기준)
결합 형태
unconjugated
항체 형태
affinity isolated antibody
항체 유형
primary antibody
클론
polyclonal
제품 라인
Prestige Antibodies® Powered by Atlas Antibodies
제형
buffered aqueous glycerol solution
반응 종
human
포장 단위
antibody small pack (25 μL)
적용 기술
- Immunohistochemistry (IHC): 1:50–1:200
면역원 서열
PTQLQLARQLTRKSPRRCSAPKETFAQGRLPKDSGTEHSSGRTVKTSVPLSQPSWHTQQPVCSLEASGEPSTVDMSMPVREHTLLE
UniProt 수납 번호
배송 상태
wet ice
저장 온도
−20°C
유전자 정보
Human ATP10A (Gene ID: 57194)
ATPase, class V, type 10A recombinant protein epitope signature tag (PrEST)
🏷️Merck Sigma 상품 둘러보기
동일 브랜드의 다른 상품들을 확인해보세요

Merck Sigma
Merck Anti-CYP2U1 antibody produced in rabbit
895,700원

Merck Sigma
Merck Anti-ANKRD24 antibody produced in rabbit
370,530원

Merck Sigma
Merck Anti-ATP10A antibody produced in rabbit
895,700원

Merck Sigma
Merck Anti-GLE1 antibody produced in rabbit
895,700원

Merck Sigma
Merck Anti-SQRDL antibody produced in rabbit
817,800원
배송/결제/교환/반품 안내
배송 정보
| 기본 배송비 |
| 교환/반품 배송비 |
|
|---|---|---|---|
| 착불 배송비 |
| ||
| 교환/반품 배송비 |
| ||
결제 및 환불 안내
| 결제수단 |
|
|---|---|
| 취소 |
|
| 반품 |
|
| 환급 |
|
교환 및 반품 접수
| 교환 및 반품 접수 기한 |
|
|---|---|
| 교환 및 반품 접수가 가능한 경우 |
|
| 교환 및 반품 접수가 불가능한 경우 |
|
교환 및 반품 신청
| 교환 절차 |
|
|---|---|
| 반품 절차 |
|