
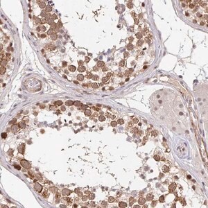
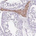
Merck Anti-CLASRP antibody produced in rabbit
Rabbit에서 생산된 Anti-CLASRP 항체로, Atlas Antibodies 기술 기반 Prestige Antibodies® 제품입니다. 인간 CLASRP 단백질을 인식하며, 면역블롯·면역형광·면역조직화학에 적합합니다. 비결합형 polyclonal 항체로 −20°C에서 보관합니다.
✨AI 추천 연관 상품
AI가 분석한 이 상품과 연관된 추천 상품들을 확인해보세요
연관 상품을 찾고 있습니다...
Anti-CLASRP antibody produced in rabbit
제품 개요
Prestige Antibodies® Powered by Atlas Antibodies, affinity isolated antibody, buffered aqueous glycerol solution
대상 단백질: CLASP / SWAP2 / SFRS16
생물학적 소스
rabbit
품질 등급
100
결합 형태
unconjugated
항체 형태
affinity isolated antibody
항체 유형
primary antibodies
클론
polyclonal
제품 라인
Prestige Antibodies® Powered by Atlas Antibodies
제형
buffered aqueous glycerol solution
반응 종
human
포장
antibody small pack of 25 μL
적용 기술
| Technique | 사용 농도 |
|---|---|
| Immunoblotting | 0.04–0.4 μg/mL |
| Immunofluorescence | 0.25–2 μg/mL |
| Immunohistochemistry | 1:200–1:500 |
면역원 서열
NSDEDEVIPDIDVEVDVDELNQEQVADLNKQATTYGMADGDFVRMLRKDKE
UniProt 수납 번호
배송 상태
wet ice
저장 온도
−20°C
Gene Information
Human gene: CLASRP (11129)
CLK4-associating serine/arginine rich protein
🏷️Merck Sigma 상품 둘러보기
동일 브랜드의 다른 상품들을 확인해보세요

Merck Sigma
Merck Anti-NLRP13 antibody produced in rabbit
370,530원

Merck Sigma
Merck Anti-GPR148 antibody produced in rabbit
370,530원

Merck Sigma
Merck Anti-CLASRP antibody produced in rabbit
370,530원

Merck Sigma
Merck Anti-ZFP82 antibody produced in rabbit
370,530원

Merck Sigma
Merck Anti-VSIG10L antibody produced in rabbit
370,530원
배송/결제/교환/반품 안내
배송 정보
| 기본 배송비 |
| 교환/반품 배송비 |
|
|---|---|---|---|
| 착불 배송비 |
| ||
| 교환/반품 배송비 |
| ||
결제 및 환불 안내
| 결제수단 |
|
|---|---|
| 취소 |
|
| 반품 |
|
| 환급 |
|
교환 및 반품 접수
| 교환 및 반품 접수 기한 |
|
|---|---|
| 교환 및 반품 접수가 가능한 경우 |
|
| 교환 및 반품 접수가 불가능한 경우 |
|
교환 및 반품 신청
| 교환 절차 |
|
|---|---|
| 반품 절차 |
|