
Merck Anti-NANOGNB antibody produced in rabbit
상품 한눈에 보기
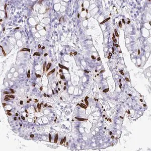
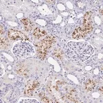
Merck Anti-NANOGNB antibody는 rabbit에서 생산된 polyclonal 1차 항체로, Prestige Antibodies® Powered by Atlas Antibodies 라인 제품입니다. 인간 NANOGNB 단백질을 인식하며, 면역조직화학(IHC)에 1:50~1:200 희석으로 사용됩니다. −20°C에서 보관하며 연구 병리학용으로 적합합니다.
브랜드: Merck Sigma
✨AI 추천 연관 상품
AI가 분석한 이 상품과 연관된 추천 상품들을 확인해보세요
연관 상품을 찾고 있습니다...
Anti-NANOGNB antibody produced in rabbit
제품 개요
Prestige Antibodies® Powered by Atlas Antibodies 시리즈의 rabbit 유래 Anti-NANOGNB 항체로, affinity isolated 형식의 buffered aqueous glycerol solution 제품입니다. 인간 NANOGNB 단백질을 인식하며 연구 병리학 및 면역조직화학(IHC) 등에 활용됩니다.
주요 특징
- Polyclonal rabbit antibody
- Affinity isolated primary antibody
- Human species reactivity
- Buffered aqueous glycerol solution
- Research pathology 및 IHC(1:50–1:200) 적용 가능
스펙 정보
| 항목 | 내용 |
|---|---|
| Biological Source | Rabbit |
| Quality Level | 100 |
| Conjugate | Unconjugated |
| Antibody Type | Primary antibodies |
| Clone | Polyclonal |
| Product Line | Prestige Antibodies® Powered by Atlas Antibodies |
| Form | Buffered aqueous glycerol solution |
| Species Reactivity | Human |
| Packaging | Small pack of 25 μL |
| Technique(s) | Immunohistochemistry: 1:50–1:200 |
| Immunogen Sequence | TILANKKQSAMPWDQDPEQSTGNYSEDEQNGKQKWREEGEAGRKRE |
| UniProt Accession | Q7Z5D8 |
| Application(s) | Research pathology |
| Shipping Conditions | Wet ice |
| Storage Temperature | −20°C |
| Gene Information | Human NANOGNB (360030) – NANOG neighbor homeobox |
🏷️Merck Sigma 상품 둘러보기
동일 브랜드의 다른 상품들을 확인해보세요

Merck Sigma
Merck Anti-TAF1D antibody produced in rabbit
370,530원

Merck Sigma
Merck Anti-ALG1 antibody produced in rabbit
370,530원

Merck Sigma
Merck Anti-NANOGNB antibody produced in rabbit
370,530원

Merck Sigma
Merck Anti-C4orf17 antibody produced in rabbit
370,530원

Merck Sigma
Merck Anti-C8orf22 antibody produced in rabbit
370,530원
배송/결제/교환/반품 안내
배송 정보
| 기본 배송비 |
| 교환/반품 배송비 |
|
|---|---|---|---|
| 착불 배송비 |
| ||
| 교환/반품 배송비 |
| ||
결제 및 환불 안내
| 결제수단 |
|
|---|---|
| 취소 |
|
| 반품 |
|
| 환급 |
|
교환 및 반품 접수
| 교환 및 반품 접수 기한 |
|
|---|---|
| 교환 및 반품 접수가 가능한 경우 |
|
| 교환 및 반품 접수가 불가능한 경우 |
|
교환 및 반품 신청
| 교환 절차 |
|
|---|---|
| 반품 절차 |
|
문의 0
로그인 후 문의를 할 수 있습니다.