
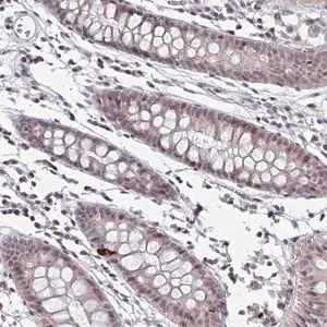
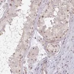
Merck Anti-SETBP1 antibody produced in rabbit
✨AI 추천 연관 상품
AI가 분석한 이 상품과 연관된 추천 상품들을 확인해보세요
연관 상품을 찾고 있습니다...
Anti-SETBP1 antibody produced in rabbit
Prestige Antibodies® Powered by Atlas Antibodies, affinity isolated antibody, buffered aqueous glycerol solution
Anti-SEB, Anti-KIAA0437
생물학적 소스
rabbit
Quality Level
결합
unconjugated
항체 형태
affinity isolated antibody
antibody product type
primary antibodies
클론
polyclonal
제품 라인
Prestige Antibodies® Powered by Atlas Antibodies
form
buffered aqueous glycerol solution
species reactivity
human
포장
antibody small pack of 25 μL
technique(s)
immunohistochemistry: 1:200- 1:500
면역원 서열
SDAQHWTQAKEKGDLSSEPVDSCTKRYSGSGGDGGSTRSENLDVFSEMNPSNDKWDSDVSGSKRRSYEGFGTYREKDIQAFKMNRKERSSYDSSMSPGMPSPHLKVDQTAVHSKNEGSVPTMMTRKKP
UniProt 수납 번호
배송 상태
wet ice
저장 온도
−20°C
Gene Information
human ... SETBP1(26040)
SET binding protein 1
🏷️Merck Sigma 상품 둘러보기
동일 브랜드의 다른 상품들을 확인해보세요

Merck Sigma
Merck Anti-DZIP1 antibody produced in rabbit
370,530원

Merck Sigma
Merck Anti-OR13A1 antibody produced in rabbit
370,530원

Merck Sigma
Merck Anti-SETBP1 antibody produced in rabbit
370,530원

Merck Sigma
Merck Anti-AGTPBP1 antibody produced in rabbit
370,530원

Merck Sigma
Merck Anti-SARDH antibody produced in rabbit
370,530원
배송/결제/교환/반품 안내
배송 정보
| 기본 배송비 |
| 교환/반품 배송비 |
|
|---|---|---|---|
| 착불 배송비 |
| ||
| 교환/반품 배송비 |
| ||
결제 및 환불 안내
| 결제수단 |
|
|---|---|
| 취소 |
|
| 반품 |
|
| 환급 |
|
교환 및 반품 접수
| 교환 및 반품 접수 기한 |
|
|---|---|
| 교환 및 반품 접수가 가능한 경우 |
|
| 교환 및 반품 접수가 불가능한 경우 |
|
교환 및 반품 신청
| 교환 절차 |
|
|---|---|
| 반품 절차 |
|
문의 0
로그인 후 문의를 할 수 있습니다.
