
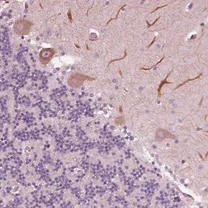
Merck Anti-CELSR3 antibody produced in rabbit
토끼에서 생산된 Anti-CELSR3 폴리클로날 항체로, 인간 CELSR3 단백질을 특이적으로 인식합니다. Prestige Antibodies® 라인 제품이며, 면역조직화학(IHC)에 적합합니다. −20°C에서 보관하며, 25 μL 소포장으로 제공됩니다.
✨AI 추천 연관 상품
AI가 분석한 이 상품과 연관된 추천 상품들을 확인해보세요
연관 상품을 찾고 있습니다...
Anti-CELSR3 antibody produced in rabbit
제품 개요
Prestige Antibodies® Powered by Atlas Antibodies
Affinity isolated antibody, buffered aqueous glycerol solution
Synonyms: Anti-CDHF11, Anti-EGFL1, Anti-HFMI1, Anti-FMI1, Anti-MEGF2
생물학적 소스
rabbit
품질 등급
100
결합
unconjugated
항체 형태
affinity isolated antibody
항체 유형
primary antibodies
클론
polyclonal
제품 라인
Prestige Antibodies® Powered by Atlas Antibodies
형태
buffered aqueous glycerol solution
반응 종
human
포장
antibody small pack of 25 μL
적용 기술
- Immunohistochemistry (IHC): 1:2500–1:5000
면역원 서열
LDSLSRSSNSREQLDQVPSRHPSREALGPLPQLLRAREDSVSGPSHGPSTEQLDILSSILASFNSSALSSVQSSSTP
UniProt 수납 번호
배송 상태
wet ice
저장 온도
−20°C
유전자 정보
Gene: human CELSR3 (1951)
Cadherin EGF LAG seven-pass G-type receptor 3 (CELSR3), also known as multiple epidermal growth factor (EGF)-like domains protein 2 (MEGF2),
has transmembrane regions, six EGF-like domains, eight cadherin motifs, and two laminin G domains.
MEGF2 is mapped to human chromosome 3p21.31.
제품 스펙 요약
| 항목 | 내용 |
|---|---|
| Biological source | Rabbit |
| Quality Level | 100 |
| Conjugate | Unconjugated |
| Antibody form | Affinity isolated antibody |
| Antibody type | Primary, Polyclonal |
| Product line | Prestige Antibodies® Powered by Atlas Antibodies |
| Form | Buffered aqueous glycerol solution |
| Species reactivity | Human |
| Package size | 25 μL |
| Application | Immunohistochemistry (1:2500–1:5000) |
| Immunogen sequence | LDSLSRSSNSREQLDQVPSRHPSREALGPLPQLLRAREDSVSGPSHGPSTEQLDILSSILASFNSSALSSVQSSSTP |
| UniProt accession | Q9NYQ7 |
| Shipping condition | Wet ice |
| Storage temperature | −20°C |
| Gene | CELSR3 (human, chromosome 3p21.31) |
🏷️Merck Sigma 상품 둘러보기
동일 브랜드의 다른 상품들을 확인해보세요

Merck Sigma
Merck Anti-GPR137 antibody produced in rabbit
370,530원

Merck Sigma
Merck Anti-IFIT1B antibody produced in rabbit
370,530원

Merck Sigma
Merck Anti-CELSR3 antibody produced in rabbit
370,530원

Merck Sigma
Merck Anti-IGFL3 antibody produced in rabbit
370,530원

Merck Sigma
Merck Anti-ZNF579 antibody produced in rabbit
370,530원
배송/결제/교환/반품 안내
배송 정보
| 기본 배송비 |
| 교환/반품 배송비 |
|
|---|---|---|---|
| 착불 배송비 |
| ||
| 교환/반품 배송비 |
| ||
결제 및 환불 안내
| 결제수단 |
|
|---|---|
| 취소 |
|
| 반품 |
|
| 환급 |
|
교환 및 반품 접수
| 교환 및 반품 접수 기한 |
|
|---|---|
| 교환 및 반품 접수가 가능한 경우 |
|
| 교환 및 반품 접수가 불가능한 경우 |
|
교환 및 반품 신청
| 교환 절차 |
|
|---|---|
| 반품 절차 |
|