
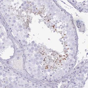
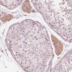
Merck Anti-SPAG4 antibody produced in rabbit
상품 한눈에 보기
토끼에서 생산된 Anti-SPAG4 항체로 인간 SPAG4 단백질을 인식하며, 면역조직화학(IHC)에 적합한 프라이머리 폴리클로날 항체입니다. Prestige Antibodies® 라인 제품으로, 친화성 정제된 글리세롤 완충 용액 형태로 제공됩니다.
브랜드: Merck Sigma
✨AI 추천 연관 상품
AI가 분석한 이 상품과 연관된 추천 상품들을 확인해보세요
연관 상품을 찾고 있습니다...
Anti-SPAG4 antibody produced in rabbit
제품 개요
Prestige Antibodies® Powered by Atlas Antibodies
Affinity isolated antibody, buffered aqueous glycerol solution
Anti-CT127, Anti-SUN4
생물학적 정보
| 항목 | 내용 |
|---|---|
| 생물학적 소스 | Rabbit |
| 클론 | Polyclonal |
| 항체 형태 | Affinity isolated antibody |
| 결합 | Unconjugated |
| antibody product type | Primary antibodies |
| 제품 라인 | Prestige Antibodies® Powered by Atlas Antibodies |
| 형태(Form) | Buffered aqueous glycerol solution |
| species reactivity | Human |
| 포장 | Antibody small pack of 25 μL |
| technique(s) | Immunohistochemistry: 1:50–1:200 |
| Quality Level | 100 |
| 배송 상태 | Wet ice |
| 저장 온도 | −20 °C |
면역원 서열
LSDITLQHPPPSVEHTGGANSAPRDFAVFGLQVYDETEVSLGKFTFDVEKSEIQTFHLQNDPPAAFPKVKIQILSNWGHUniProt 정보
Gene Information
Human ... SPAG4 (6676)
Sperm associated antigen 4
🏷️Merck Sigma 상품 둘러보기
동일 브랜드의 다른 상품들을 확인해보세요

Merck Sigma
Merck Anti-BBS12 antibody produced in rabbit
370,530원

Merck Sigma
Merck Anti-STOML2 antibody produced in rabbit
370,530원

Merck Sigma
Merck Anti-SPAG4 antibody produced in rabbit
370,530원

Merck Sigma
Merck Anti-BRSK1 antibody produced in rabbit
370,530원

Merck Sigma
Merck Anti-CDC42BPG antibody produced in rabbit
370,530원
배송/결제/교환/반품 안내
배송 정보
| 기본 배송비 |
| 교환/반품 배송비 |
|
|---|---|---|---|
| 착불 배송비 |
| ||
| 교환/반품 배송비 |
| ||
결제 및 환불 안내
| 결제수단 |
|
|---|---|
| 취소 |
|
| 반품 |
|
| 환급 |
|
교환 및 반품 접수
| 교환 및 반품 접수 기한 |
|
|---|---|
| 교환 및 반품 접수가 가능한 경우 |
|
| 교환 및 반품 접수가 불가능한 경우 |
|
교환 및 반품 신청
| 교환 절차 |
|
|---|---|
| 반품 절차 |
|
문의 0
로그인 후 문의를 할 수 있습니다.