
Merck Anti-PPP1R1B antibody produced in rabbit
상품 한눈에 보기
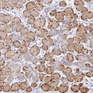
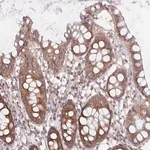
토끼에서 생산된 Anti-PPP1R1B 항체로, DARPP-32 인식에 사용됩니다. Atlas Antibodies 기반의 Prestige Antibodies® 제품이며, 인간 시료에 반응합니다. 면역조직화학에 적합하며, −20°C에서 보관합니다.
브랜드: Merck Sigma
✨AI 추천 연관 상품
AI가 분석한 이 상품과 연관된 추천 상품들을 확인해보세요
연관 상품을 찾고 있습니다...
Anti-PPP1R1B antibody produced in rabbit
Prestige Antibodies® Powered by Atlas Antibodies
Affinity isolated antibody, buffered aqueous glycerol solution
Also known as Anti-DARPP-32, Anti-FLJ20940
제품 정보
| 항목 | 내용 |
|---|---|
| 생물학적 소스 | Rabbit |
| Quality Level | 100 |
| 결합 | Unconjugated |
| 항체 형태 | Affinity isolated antibody |
| Antibody Product Type | Primary antibodies |
| 클론 | Polyclonal |
| 제품 라인 | Prestige Antibodies® Powered by Atlas Antibodies |
| 형태(Form) | Buffered aqueous glycerol solution |
| Species Reactivity | Human |
| 포장 | Antibody small pack of 25 μL |
| 적용 기술(Technique) | Immunohistochemistry: 1:200–1:500 |
| 면역원 서열 | EEEEDSQAEVLKVIRQSAGQKTTCGQGLEGPWERPPPLDESERDGGSEDQVEDPALSEPG |
| UniProt 수납 번호 | Q9UD71 |
| 배송 상태 | Wet ice |
| 저장 온도 | −20°C |
| Gene Information | Human PPP1R1B (84152), protein phosphatase 1, regulatory (inhibitor) subunit 1B |
제품 설명
Anti-PPP1R1B 항체는 DARPP-32 단백질을 인식하는 토끼 다클론 항체로, Atlas Antibodies의 기술로 제작된 Prestige Antibodies® 제품입니다. 인간 시료에 반응하며, 면역조직화학(Immunohistochemistry) 분석에 적합합니다.
🏷️Merck Sigma 상품 둘러보기
동일 브랜드의 다른 상품들을 확인해보세요

Merck Sigma
Merck Anti-SEC62 antibody produced in rabbit
370,530원

Merck Sigma
Merck Anti-HAGH antibody produced in rabbit
370,530원

Merck Sigma
Merck Anti-PPP1R1B antibody produced in rabbit
370,530원

Merck Sigma
Merck Anti-FOSL2 antibody produced in rabbit
370,530원

Merck Sigma
Merck Anti-PDAP1 antibody produced in rabbit
370,530원
배송/결제/교환/반품 안내
배송 정보
| 기본 배송비 |
| 교환/반품 배송비 |
|
|---|---|---|---|
| 착불 배송비 |
| ||
| 교환/반품 배송비 |
| ||
결제 및 환불 안내
| 결제수단 |
|
|---|---|
| 취소 |
|
| 반품 |
|
| 환급 |
|
교환 및 반품 접수
| 교환 및 반품 접수 기한 |
|
|---|---|
| 교환 및 반품 접수가 가능한 경우 |
|
| 교환 및 반품 접수가 불가능한 경우 |
|
교환 및 반품 신청
| 교환 절차 |
|
|---|---|
| 반품 절차 |
|
문의 0
로그인 후 문의를 할 수 있습니다.