
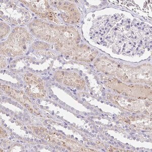
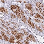
Merck Anti-PKN3 antibody produced in rabbit
상품 한눈에 보기
Rabbit에서 생산된 Anti-PKN3 항체로, 인간 PKN3 단백질을 인식하는 polyclonal primary antibody입니다. Prestige Antibodies® 제품군으로, 면역조직화학(IHC)에 1:50~1:200 희석 비율로 사용 가능하며 −20°C에서 보관합니다.
브랜드: Merck Sigma
✨AI 추천 연관 상품
AI가 분석한 이 상품과 연관된 추천 상품들을 확인해보세요
연관 상품을 찾고 있습니다...
Anti-PKN3 antibody produced in rabbit
제품 개요
Prestige Antibodies® Powered by Atlas Antibodies 시리즈의 affinity isolated antibody로, buffered aqueous glycerol solution 형태입니다. 인간 PKN3 단백질을 인식하며, 면역조직화학(IHC) 등 다양한 응용에 적합합니다.
주요 특징
- Biological Source: Rabbit
- Product Type: Primary Antibody (Polyclonal)
- Form: Buffered aqueous glycerol solution
- Conjugation: Unconjugated
- Species Reactivity: Human
- Application: Immunohistochemistry (IHC)
- Product Line: Prestige Antibodies® Powered by Atlas Antibodies
스펙 정보
| 항목 | 내용 |
|---|---|
| Biological Source | Rabbit |
| Quality Level | 100 |
| Conjugation | Unconjugated |
| Antibody Form | Affinity isolated antibody |
| Product Type | Primary antibodies |
| Clone Type | Polyclonal |
| Product Line | Prestige Antibodies® Powered by Atlas Antibodies |
| Form | Buffered aqueous glycerol solution |
| Species Reactivity | Human |
| Packaging | Small pack of 25 μL |
| Technique(s) | Immunohistochemistry (IHC): 1:50–1:200 |
| Immunogen Sequence | DCIVNMDAPYPGFLSVQGLEFIQKLLQKCPEKRLGAGEQDAEEIKVQPFFRTTNWQALLARTIQ |
| UniProt Accession No. | Q6P5Z2 |
| Shipping Conditions | Wet ice |
| Storage Temperature | −20°C |
| Gene Information | Human PKN3(29941) — Protein kinase N3 |
관련 정보
- 공급업체: Merck Sigma
- 항체명: Anti-PKNβ (PKN3 대응)
제품 이미지
(이미지 없음)
🏷️Merck Sigma 상품 둘러보기
동일 브랜드의 다른 상품들을 확인해보세요

Merck Sigma
Merck Anti-ZFP64 antibody produced in rabbit
370,530원

Merck Sigma
Merck Anti-SEMA6B antibody produced in rabbit
370,530원

Merck Sigma
Merck Anti-PKN3 antibody produced in rabbit
370,530원

Merck Sigma
Merck Anti-TMEM71 antibody produced in rabbit
370,530원

Merck Sigma
Merck Anti-MOCS1 antibody produced in rabbit
370,530원
배송/결제/교환/반품 안내
배송 정보
| 기본 배송비 |
| 교환/반품 배송비 |
|
|---|---|---|---|
| 착불 배송비 |
| ||
| 교환/반품 배송비 |
| ||
결제 및 환불 안내
| 결제수단 |
|
|---|---|
| 취소 |
|
| 반품 |
|
| 환급 |
|
교환 및 반품 접수
| 교환 및 반품 접수 기한 |
|
|---|---|
| 교환 및 반품 접수가 가능한 경우 |
|
| 교환 및 반품 접수가 불가능한 경우 |
|
교환 및 반품 신청
| 교환 절차 |
|
|---|---|
| 반품 절차 |
|
문의 0
로그인 후 문의를 할 수 있습니다.