
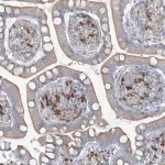
Merck Anti-NHSL1 antibody produced in rabbit
상품 한눈에 보기
Merck의 Anti-NHSL1 토끼 유래 항체는 Prestige Antibodies® 시리즈로, 인간 NHSL1 단백질에 반응하는 polyclonal 1차 항체입니다. 면역형광 및 면역조직화학에 적합하며, −20°C에서 보관합니다.
브랜드: Merck Sigma
✨AI 추천 연관 상품
AI가 분석한 이 상품과 연관된 추천 상품들을 확인해보세요
연관 상품을 찾고 있습니다...
Anti-NHSL1 antibody produced in rabbit
Prestige Antibodies® Powered by Atlas Antibodies
Affinity isolated antibody, buffered aqueous glycerol solution
Alternative Names:
- Anti-KIAA1357
- Anti-C6orf63
- Anti-bA43P8.1
제품 정보
| 항목 | 내용 |
|---|---|
| 생물학적 소스 | Rabbit |
| 품질 등급 | 100 |
| 결합 상태 | Unconjugated |
| 항체 형태 | Affinity isolated antibody |
| 항체 유형 | Primary antibodies |
| 클론 | Polyclonal |
| 제품 라인 | Prestige Antibodies® Powered by Atlas Antibodies |
| 형태 | Buffered aqueous glycerol solution |
| 반응 종 | Human |
| 포장 단위 | Small pack of 25 μL |
| 적용 기술 | Immunofluorescence: 0.25–2 μg/mL Immunohistochemistry: 1:200–1:500 |
| 면역원 서열 | AKLNLKSVLRECDKLRHDGYRSSQYYSQGPTFAANASPFCDDYQDEDEETDQKCSLSSSEEERFISIRRPKTPASSDFSDLNTQTNWTKSLPL |
| UniProt 번호 | Q5SYE7 |
| 배송 상태 | Wet ice |
| 저장 온도 | −20°C |
| 유전자 정보 | Human NHSL1(57224) – NHS-like 1 |
제품 이미지
(이미지 없음)
🏷️Merck Sigma 상품 둘러보기
동일 브랜드의 다른 상품들을 확인해보세요

Merck Sigma
Merck Anti-MICAL1 antibody produced in rabbit
895,700원

Merck Sigma
Merck Anti-REPS1 antibody produced in rabbit
895,700원

Merck Sigma
Merck Anti-NHSL1 antibody produced in rabbit
895,700원

Merck Sigma
Merck Anti-EDNRB antibody produced in rabbit
370,530원

Merck Sigma
Merck Anti-IFNAR1 antibody produced in rabbit
817,800원
배송/결제/교환/반품 안내
배송 정보
| 기본 배송비 |
| 교환/반품 배송비 |
|
|---|---|---|---|
| 착불 배송비 |
| ||
| 교환/반품 배송비 |
| ||
결제 및 환불 안내
| 결제수단 |
|
|---|---|
| 취소 |
|
| 반품 |
|
| 환급 |
|
교환 및 반품 접수
| 교환 및 반품 접수 기한 |
|
|---|---|
| 교환 및 반품 접수가 가능한 경우 |
|
| 교환 및 반품 접수가 불가능한 경우 |
|
교환 및 반품 신청
| 교환 절차 |
|
|---|---|
| 반품 절차 |
|
문의 0
로그인 후 문의를 할 수 있습니다.