
Merck Anti-FMR1 antibody produced in rabbit
상품 한눈에 보기
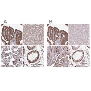
토끼에서 생산된 Anti-FMR1 항체로, 인간 FMR1 단백질을 특이적으로 인식합니다. Prestige Antibodies® 라인 제품으로 면역조직화학(IHC)에 적합하며, 고순도의 affinity isolated 형태입니다. −20°C에서 보관하며, 25 μL 소포장으로 제공됩니다.
브랜드: Merck Sigma
✨AI 추천 연관 상품
AI가 분석한 이 상품과 연관된 추천 상품들을 확인해보세요
연관 상품을 찾고 있습니다...
Anti-FMR1 antibody produced in rabbit
제품 개요
Prestige Antibodies® Powered by Atlas Antibodies 시리즈의 토끼 유래 항-FMR1 항체입니다.
Anti-FMRP, Anti-FRAXA, Anti-MGC87458, Anti-POF, Anti-POF1로도 알려져 있습니다.
Affinity isolated된 1차 항체로, buffered aqueous glycerol 용액 형태로 제공됩니다.
제품 사양
| 항목 | 내용 |
|---|---|
| Biological Source | Rabbit |
| Quality Level | 100 |
| Conjugation | Unconjugated |
| Antibody Type | Primary antibody |
| Clonality | Polyclonal |
| Product Line | Prestige Antibodies® Powered by Atlas Antibodies |
| Form | Buffered aqueous glycerol solution |
| Species Reactivity | Human |
| Packaging | 25 μL (small pack) |
| Technique(s) | Immunohistochemistry (IHC): 1:1000–1:2500 |
| Immunogen Sequence | RIEAENEKNVPQEEEIMPPNSLPSNNSRVGPNAPEEKKHLDIKENSTHFSQPNSTKV |
| UniProt Accession No. | Q06787 |
| Shipping Conditions | Wet ice |
| Storage Temperature | −20°C |
| Gene Information | Human FMR1 (2332) — Fragile X mental retardation 1 |
관련 정보
FMR1 유전자는 Fragile X 증후군과 관련된 단백질을 암호화하며, 신경 발달 및 시냅스 기능 조절에 중요한 역할을 합니다.
🏷️Merck Sigma 상품 둘러보기
동일 브랜드의 다른 상품들을 확인해보세요

Merck Sigma
Merck Anti-FA2H antibody produced in rabbit
370,530원

Merck Sigma
Merck Anti-ERI1 antibody produced in rabbit
370,530원

Merck Sigma
Merck Anti-FMR1 antibody produced in rabbit
370,530원

Merck Sigma
Merck Anti-TIMM50 antibody produced in rabbit
370,530원

Merck Sigma
Merck Anti-FLRT3 antibody produced in rabbit
370,530원
배송/결제/교환/반품 안내
배송 정보
| 기본 배송비 |
| 교환/반품 배송비 |
|
|---|---|---|---|
| 착불 배송비 |
| ||
| 교환/반품 배송비 |
| ||
결제 및 환불 안내
| 결제수단 |
|
|---|---|
| 취소 |
|
| 반품 |
|
| 환급 |
|
교환 및 반품 접수
| 교환 및 반품 접수 기한 |
|
|---|---|
| 교환 및 반품 접수가 가능한 경우 |
|
| 교환 및 반품 접수가 불가능한 경우 |
|
교환 및 반품 신청
| 교환 절차 |
|
|---|---|
| 반품 절차 |
|
문의 0
로그인 후 문의를 할 수 있습니다.