
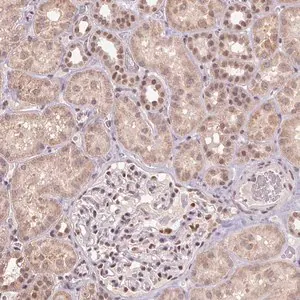
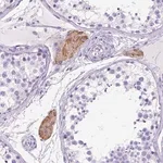
Merck Anti-ZBTB4 antibody produced in rabbit
Rabbit에서 생산된 Anti-ZBTB4 폴리클로날 항체로, 인간 ZBTB4 단백질을 인식합니다. Prestige Antibodies® 라인 제품으로 면역형광 및 면역조직화학에 적합합니다. 비결합형 IgG 형태이며, −20°C에서 보관합니다.
✨AI 추천 연관 상품
AI가 분석한 이 상품과 연관된 추천 상품들을 확인해보세요
연관 상품을 찾고 있습니다...
Anti-ZBTB4 antibody produced in rabbit
Prestige Antibodies® Powered by Atlas Antibodies
Affinity isolated antibody, buffered aqueous glycerol solution
Synonyms: KIAA1538, ZNF903, KAISO-L1
생물학적 소스
rabbit
품질 등급
100 (M-Clarity Program)
결합 형태
unconjugated
항체 형태
affinity isolated antibody
항체 유형
primary antibodies
클론
polyclonal
제품 라인
Prestige Antibodies® Powered by Atlas Antibodies
제형
buffered aqueous glycerol solution
반응 종
human
포장
small pack of 25 μL
적용 기술
- Immunofluorescence: 0.25–2 μg/mL
- Immunohistochemistry: 1:200–1:500
동형
IgG
면역원 서열
TPTPVIAYSKGSAGTRPGDVKEEAPQEMQVSSSSGEAGGGSTAAEEASETASLQDPIISGGEEPPVVASGGSYVYPPV
UniProt 수납 번호
배송 상태
wet ice
저장 온도
−20°C
Gene Information
Human ZBTB4 (57659)
Zinc finger and BTB domain containing 4
🏷️Merck Sigma 상품 둘러보기
동일 브랜드의 다른 상품들을 확인해보세요

Merck Sigma
Merck Anti-C1QTNF3 antibody produced in rabbit
370,530원

Merck Sigma
Merck Anti-CLPB antibody produced in rabbit
370,530원

Merck Sigma
Merck Anti-ZBTB4 antibody produced in rabbit
370,530원

Merck Sigma
Merck Anti-STARD7 antibody produced in rabbit
370,530원

Merck Sigma
Merck Anti-EIF2S1 antibody produced in rabbit
370,530원
배송/결제/교환/반품 안내
배송 정보
| 기본 배송비 |
| 교환/반품 배송비 |
|
|---|---|---|---|
| 착불 배송비 |
| ||
| 교환/반품 배송비 |
| ||
결제 및 환불 안내
| 결제수단 |
|
|---|---|
| 취소 |
|
| 반품 |
|
| 환급 |
|
교환 및 반품 접수
| 교환 및 반품 접수 기한 |
|
|---|---|
| 교환 및 반품 접수가 가능한 경우 |
|
| 교환 및 반품 접수가 불가능한 경우 |
|
교환 및 반품 신청
| 교환 절차 |
|
|---|---|
| 반품 절차 |
|