
Merck Monoclonal Anti-TP63 antibody produced in mouse
상품 한눈에 보기
인간 TP63 단백질을 표적으로 하는 mouse 유래 단클론 항체. Prestige Antibodies® 라인 제품으로 Atlas Antibodies 기술 적용. Immunoblotting 및 Immunohistochemistry에 적합. 정제된 IgG1 형태의 primary antibody로 −20°C 보관.
브랜드: Merck Sigma
✨AI 추천 연관 상품
AI가 분석한 이 상품과 연관된 추천 상품들을 확인해보세요
연관 상품을 찾고 있습니다...
Monoclonal Anti-TP63 Antibody Produced in Mouse
제품 개요
Prestige Antibodies® Powered by Atlas Antibodies, clone CL3748.
Purified immunoglobulin 형태의 buffered aqueous glycerol solution.
다양한 TP63 관련 항원에 반응: Anti-NBP, Anti-TP53CP, Anti-KET, Anti-OFC8, Anti-p63, Anti-SHFM4, Anti-EEC3, Anti-p51, Anti-TP53L, Anti-p73L, Anti-TP73L, Anti-p53CP, Anti-p73H.
주요 특성
| 항목 | 내용 |
|---|---|
| Quality Level | 100 |
| Biological Source | Mouse |
| Conjugation | Unconjugated |
| Antibody Form | Purified immunoglobulin |
| Type | Primary antibody |
| Clone | CL3748, monoclonal |
| Product Line | Prestige Antibodies® Powered by Atlas Antibodies |
| Formulation | Buffered aqueous glycerol solution |
| Species Reactivity | Human |
| Packaging | Antibody small pack of 25 μL |
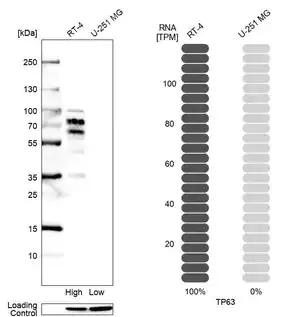
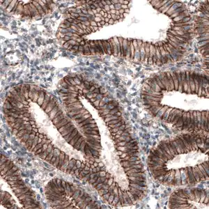
| Techniques | Immunoblotting: 1 μg/mL Immunohistochemistry: 1:1000–1:2500 |
| Isotype | IgG1 |
| Immunogen Sequence | CACPGRDRKADEDSIRKQQVSDSTKNGDAFRQNTHGIQMTSIKKRRSPDDELLYLPVRGRETYEMLLKIKESLELMQYLPQHTIETYRQQQQQQHQ |
| UniProt Accession | Q9H3D4 |
| Shipping Condition | Wet ice |
| Storage Temperature | −20°C |
| Gene Information | Human TP63 (8626) – Tumor protein p63 |
제품 이미지
(이미지 없음)
🏷️Merck Sigma 상품 둘러보기
동일 브랜드의 다른 상품들을 확인해보세요

Merck Sigma
Merck Monoclonal Anti-ST13 antibody produced in mouse
671,800원

Merck Sigma
Merck Monoclonal Anti-FCGRT antibody produced in mouse
370,530원

Merck Sigma
Merck Monoclonal Anti-TP63 antibody produced in mouse
674,700원

Merck Sigma
Merck Monoclonal Anti-FN1 antibody produced in mouse
793,800원

Merck Sigma
Merck Monoclonal Anti-CTNNB1 antibody produced in mouse
674,700원
배송/결제/교환/반품 안내
배송 정보
| 기본 배송비 |
| 교환/반품 배송비 |
|
|---|---|---|---|
| 착불 배송비 |
| ||
| 교환/반품 배송비 |
| ||
결제 및 환불 안내
| 결제수단 |
|
|---|---|
| 취소 |
|
| 반품 |
|
| 환급 |
|
교환 및 반품 접수
| 교환 및 반품 접수 기한 |
|
|---|---|
| 교환 및 반품 접수가 가능한 경우 |
|
| 교환 및 반품 접수가 불가능한 경우 |
|
교환 및 반품 신청
| 교환 절차 |
|
|---|---|
| 반품 절차 |
|
문의 0
로그인 후 문의를 할 수 있습니다.