
Merck Anti-TTC1 antibody produced in rabbit
상품 한눈에 보기
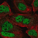
Merck의 Anti-TTC1 항체는 토끼에서 생산된 polyclonal primary antibody로, 인간 TTC1 단백질을 특이적으로 인식합니다. Prestige Antibodies® 라인 제품으로, 면역형광(Immunofluorescence)에 적합하며 −20°C에서 보관합니다.
브랜드: Merck Sigma
✨AI 추천 연관 상품
AI가 분석한 이 상품과 연관된 추천 상품들을 확인해보세요
연관 상품을 찾고 있습니다...
Anti-TTC1 antibody produced in rabbit
제품 개요
Prestige Antibodies® Powered by Atlas Antibodies, affinity isolated antibody
Target: TPR1 (tetratricopeptide repeat domain 1)
생물학적 정보
- Source: Rabbit
- Antibody Type: Primary, polyclonal
- Conjugation: Unconjugated
- Form: Buffered aqueous glycerol solution
- Species Reactivity: Human
- Product Line: Prestige Antibodies® Powered by Atlas Antibodies
기술 정보
| 항목 | 내용 |
|---|---|
| Quality Level | 100 |
| Technique(s) | Immunofluorescence: 0.25–2 μg/mL |
| Packaging | Antibody small pack of 25 μL |
| Immunogen Sequence | EKSENCGVPEDLLNGLKVTDTQEAECAGPPVPDPKNQHSQSKLLRDDEAHLQEDQGEEECFHDCSASFEEEP |
| UniProt Accession | Q99614 |
| Gene Information | Human TTC1 (Gene ID: 7265) |
| Delivery Condition | Wet ice |
| Storage Temperature | −20°C |
Gene Description
TTC1 — tetratricopeptide repeat domain 1
제품 이미지
(이미지 없음)
🏷️Merck Sigma 상품 둘러보기
동일 브랜드의 다른 상품들을 확인해보세요

Merck Sigma
Merck Anti-CSF2 antibody produced in rabbit
370,530원

Merck Sigma
Merck Anti-ZNF638 antibody produced in rabbit
370,530원

Merck Sigma
Merck Anti-TTC1 antibody produced in rabbit
370,530원

Merck Sigma
Merck Anti-SHF antibody produced in rabbit
370,530원

Merck Sigma
Merck Anti-MYCN antibody produced in rabbit
370,530원
배송/결제/교환/반품 안내
배송 정보
| 기본 배송비 |
| 교환/반품 배송비 |
|
|---|---|---|---|
| 착불 배송비 |
| ||
| 교환/반품 배송비 |
| ||
결제 및 환불 안내
| 결제수단 |
|
|---|---|
| 취소 |
|
| 반품 |
|
| 환급 |
|
교환 및 반품 접수
| 교환 및 반품 접수 기한 |
|
|---|---|
| 교환 및 반품 접수가 가능한 경우 |
|
| 교환 및 반품 접수가 불가능한 경우 |
|
교환 및 반품 신청
| 교환 절차 |
|
|---|---|
| 반품 절차 |
|
문의 0
로그인 후 문의를 할 수 있습니다.