
Merck Anti-NADSYN1 antibody produced in rabbit
상품 한눈에 보기
토끼에서 생산된 Anti-NADSYN1 폴리클로날 항체로, 인간 NADSYN1 단백질을 인식합니다. Atlas Antibodies 기반 Prestige Antibodies® 제품으로, Western blot 및 IHC에 적합합니다. −20°C 보관, 25 μL 소포장으로 제공됩니다.
브랜드: Merck Sigma
✨AI 추천 연관 상품
AI가 분석한 이 상품과 연관된 추천 상품들을 확인해보세요
연관 상품을 찾고 있습니다...
Anti-NADSYN1 antibody produced in rabbit
Prestige Antibodies® Powered by Atlas Antibodies
Affinity isolated primary antibody targeting human NADSYN1 (FLJ10631)
제품 개요
- 생물학적 소스: Rabbit
- 항체 형태: Affinity isolated antibody
- 항체 유형: Polyclonal
- 제품 라인: Prestige Antibodies® Powered by Atlas Antibodies
- 결합: Unconjugated
- 형태: Buffered aqueous glycerol solution
- Species Reactivity: Human
- 포장: 25 μL small pack
실험 적용
- Immunoblotting (WB): 0.04–0.4 μg/mL
- Immunohistochemistry (IHC): 1:50–1:200
면역원 서열
VRSGNEEVLADVRTIVNQISYTPQDPRDLCGRILTTCYMASKNSSQETCTRARELAQQIGSHHISLNIDPAVKAVMGIFSLVTGKSPLFAAHGGSSRENLALQNVQARIRMVL추가 정보
| 항목 | 내용 |
|---|---|
| UniProt 수납 번호 | Q6IA69 |
| Gene Information | human NADSYN1 (55191) |
| 단백질명 | NAD synthetase 1 |
| 배송 상태 | Wet ice |
| 저장 온도 | −20 °C |
| 품질 등급 | 100 (M-Clarity Program 기준) |
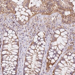
제품 이미지
(해당 상품의 이미지가 있을 경우 이 섹션에 배치합니다.)
🏷️Merck Sigma 상품 둘러보기
동일 브랜드의 다른 상품들을 확인해보세요

Merck Sigma
Merck Anti-OTUD1 antibody produced in rabbit
895,600원

Merck Sigma
Merck Anti-TTC12 antibody produced in rabbit
895,600원

Merck Sigma
Merck Anti-NADSYN1 antibody produced in rabbit
895,600원

Merck Sigma
Merck Anti-PWWP2B antibody produced in rabbit
895,600원

Merck Sigma
Merck Anti-ZNF551 antibody produced in rabbit
895,600원
배송/결제/교환/반품 안내
배송 정보
| 기본 배송비 |
| 교환/반품 배송비 |
|
|---|---|---|---|
| 착불 배송비 |
| ||
| 교환/반품 배송비 |
| ||
결제 및 환불 안내
| 결제수단 |
|
|---|---|
| 취소 |
|
| 반품 |
|
| 환급 |
|
교환 및 반품 접수
| 교환 및 반품 접수 기한 |
|
|---|---|
| 교환 및 반품 접수가 가능한 경우 |
|
| 교환 및 반품 접수가 불가능한 경우 |
|
교환 및 반품 신청
| 교환 절차 |
|
|---|---|
| 반품 절차 |
|
문의 0
로그인 후 문의를 할 수 있습니다.