
Merck Monoclonal Anti-GRN antibody produced in mouse
상품 한눈에 보기
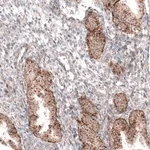
인간 GRN 단백질을 인식하는 mouse monoclonal anti-GRN 항체로, CL5692 클론 기반 Prestige Antibodies® 제품입니다. 면역조직화학(IHC)에 적합하며, 정제된 IgG1 형식으로 제공됩니다. −20°C에서 보관하며 wet ice 상태로 배송됩니다.
브랜드: Merck Sigma
✨AI 추천 연관 상품
AI가 분석한 이 상품과 연관된 추천 상품들을 확인해보세요
연관 상품을 찾고 있습니다...
Monoclonal Anti-GRN antibody produced in mouse
제품 개요
Prestige Antibodies® Powered by Atlas Antibodies, clone CL5692, purified immunoglobulin, buffered aqueous glycerol solution
관련 명칭: CLN11, PGRN, PCDGF
제품 사양
| 항목 | 내용 |
|---|---|
| Quality Level | 100 |
| 결합 형태 | Unconjugated |
| 항체 형태 | Purified immunoglobulin |
| 항체 종류 | Primary antibody |
| 클론 | CL5692, Monoclonal |
| 제품 라인 | Prestige Antibodies® Powered by Atlas Antibodies |
| 형태 | Buffered aqueous glycerol solution |
| Species Reactivity | Human |
| 포장 | Antibody small pack of 25 μL |
| 적용 기술 | Immunohistochemistry (IHC): 1:1000–1:2500 |
| 동형 | IgG1 |
| Ensembl ID | ENSG00000030582 |
| UniProt ID | P28799 |
| 배송 상태 | Wet ice |
| 저장 온도 | −20°C |
Gene Information
Human GRN (Gene ID: 2896)
Recombinant protein corresponding to granulin
Sequence
SCPDGYTCCRLQSGAWGCCPFTQAVCCEDHIHCCPAGFTCDTQKGTCEQGPHQVPWMEKAPAHLSLPDPQALKRDVPCDNVSSCPSSDTCCQLTSGEWGCCPIPEAVCCSDHQHCCPQGYTCVAEGQCQRGSEIVAGL
제품 이미지
(이미지 없음)
🏷️Merck Sigma 상품 둘러보기
동일 브랜드의 다른 상품들을 확인해보세요

Merck Sigma
Merck Monoclonal Anti-PCP4 antibody produced in mouse
383,900원

Merck Sigma
Merck Anti-TCEAL1 antibody produced in rabbit
370,530원

Merck Sigma
Merck Monoclonal Anti-GRN antibody produced in mouse
695,100원

Merck Sigma
Merck Monoclonal Anti-SOX4 antibody produced in mouse
695,100원

Merck Sigma
Merck Monoclonal Anti-GRN antibody produced in mouse
817,800원
배송/결제/교환/반품 안내
배송 정보
| 기본 배송비 |
| 교환/반품 배송비 |
|
|---|---|---|---|
| 착불 배송비 |
| ||
| 교환/반품 배송비 |
| ||
결제 및 환불 안내
| 결제수단 |
|
|---|---|
| 취소 |
|
| 반품 |
|
| 환급 |
|
교환 및 반품 접수
| 교환 및 반품 접수 기한 |
|
|---|---|
| 교환 및 반품 접수가 가능한 경우 |
|
| 교환 및 반품 접수가 불가능한 경우 |
|
교환 및 반품 신청
| 교환 절차 |
|
|---|---|
| 반품 절차 |
|
문의 0
로그인 후 문의를 할 수 있습니다.