
Merck Anti-NEK4 antibody produced in rabbit
상품 한눈에 보기
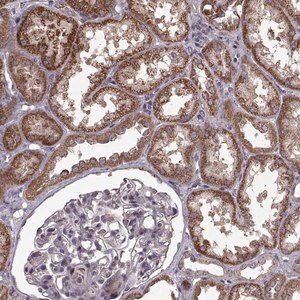
토끼에서 생산된 Anti-NEK4 항체로, NIMA 관련 키나아제 4를 인식합니다. Atlas Antibodies의 Prestige Antibodies® 시리즈로 높은 특이성과 재현성을 제공합니다. 세포 신호전달 및 단백질 인산화 연구에 적합합니다.
브랜드: Merck Sigma
✨AI 추천 연관 상품
AI가 분석한 이 상품과 연관된 추천 상품들을 확인해보세요
연관 상품을 찾고 있습니다...
Anti-NEK4 antibody produced in rabbit
Prestige Antibodies® Powered by Atlas Antibodies
Affinity isolated antibody recognizing NIMA related kinase 4 (NEK4).
Alias
NRK2, STK2, pp12301
Description
Recombinant protein corresponding to NIMA related kinase 4.
Sequence
YGEGKGQTNEINALVQLMTQTLKLDSKESCEDVPVANPVSEFKLHRKYRDTLILHGKVAEEAEEIHFKELPSAIMPGSEKIRRLVEVLRTDVIRGSpecifications
| 항목 | 내용 |
|---|---|
| 제품명 | Anti-NEK4 antibody produced in rabbit |
| 브랜드 | Prestige Antibodies® (Atlas Antibodies) |
| 공급업체 | Merck Sigma |
| 대상 단백질 | NIMA related kinase 4 (NEK4) |
| 호스트 | Rabbit |
| 형태 | Affinity isolated antibody |
| 관련 명칭 | NRK2, STK2, pp12301 |
🏷️Merck Sigma 상품 둘러보기
동일 브랜드의 다른 상품들을 확인해보세요

Merck Sigma
Merck Anti-GUCY1A3 antibody produced in rabbit
370,530원

Merck Sigma
Merck Anti-NPTX2 antibody produced in rabbit
370,530원

Merck Sigma
Merck Anti-NEK4 antibody produced in rabbit
370,530원

Merck Sigma
Merck Anti-PKN2 antibody produced in rabbit
370,530원

Merck Sigma
Merck Anti-IMMP1L antibody produced in rabbit
370,530원
배송/결제/교환/반품 안내
배송 정보
| 기본 배송비 |
| 교환/반품 배송비 |
|
|---|---|---|---|
| 착불 배송비 |
| ||
| 교환/반품 배송비 |
| ||
결제 및 환불 안내
| 결제수단 |
|
|---|---|
| 취소 |
|
| 반품 |
|
| 환급 |
|
교환 및 반품 접수
| 교환 및 반품 접수 기한 |
|
|---|---|
| 교환 및 반품 접수가 가능한 경우 |
|
| 교환 및 반품 접수가 불가능한 경우 |
|
교환 및 반품 신청
| 교환 절차 |
|
|---|---|
| 반품 절차 |
|
문의 0
로그인 후 문의를 할 수 있습니다.